症例詳細
Case detail
前歯のねじれ 乳歯を残して矯正治療
治療症例の内容
- 診療科目
- 担当医
- 井上季実子(ドクタープロフィール)
- 患者様
- 20代女性
- 矯正装置
- インビザライン フル
- 治療期間
- 1年3ヶ月
- 治療回数
- 10-30回
- 治療計画
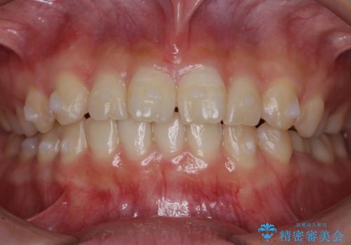
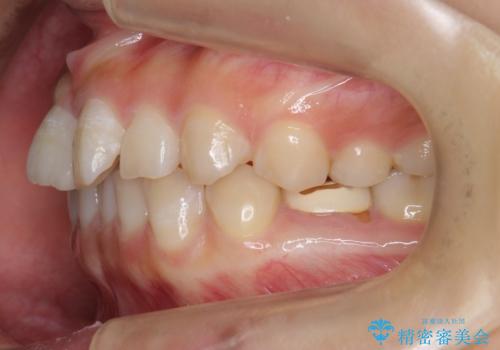
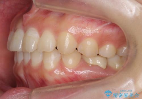
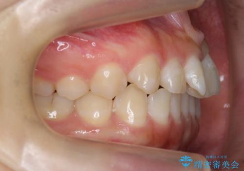
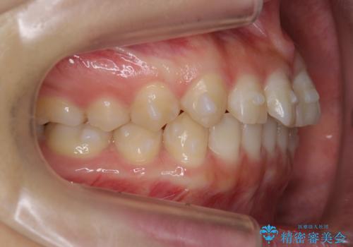
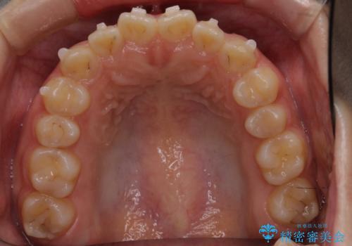
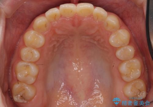
- 前歯のねじれを気にして来院。
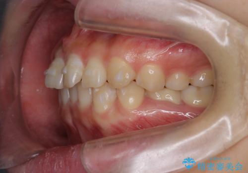
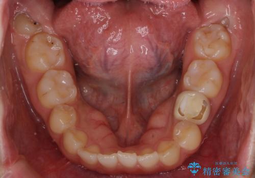
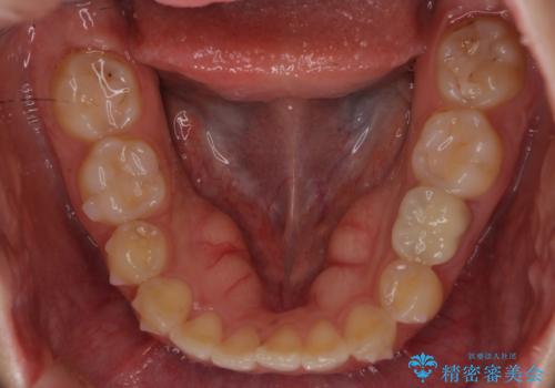
左下に乳歯が残っていましたが、被せ物に穴が空いている状態でした。
乳歯は抜かずに保存的な治療を行いました。
上下の正中が1本分ずれていましたが、ちょうど1本分で目立たず、また、右下の歯が生まれつき少ないことを利用して、最小限の歯の移動にとどめました。
- 費用(概算)
- 85万円費用は治療当時の料金となります
治療について
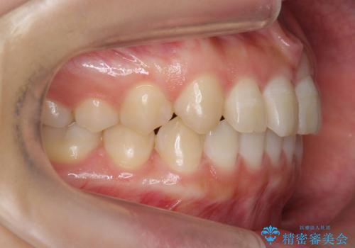
左下に乳歯が残っていましたが、被せ物に穴が空いている状態でした。
乳歯はまだぐらついたりしていない状態だったため、しっかり虫歯を取り、根の治療も行いました。
マウスピース矯正の注意事項(リスク・副作用など)
- 口腔内・歯並びの状態によっては対応できない場合があります
- マウスピース型矯正装置の長時間装着(1日20時間以上)が必須です
- 治療計画通りに進めるためには、患者様の意志が重要になります
- 矯正治療後の保定が不十分だと後戻り(元の位置に戻ろうとする動き)をします
- 薬機法対象外の矯正歯科装置のため医薬品副作用被害救済制度の対象外となる場合があります
- 自費診療(保険適用外)となります
当サイトの内容、テキスト、画像等の無断転載、複製、複写、盗用を固く禁じます。



















