症例詳細
Case detail
オールセラミッククラウン・セラミックインレー 歯茎より深い虫歯の治療
治療症例の内容
- 担当医
- 患者様
- 50代女性
- 治療期間
- 6ヶ月
- 治療回数
- 5-10回
- 治療計画
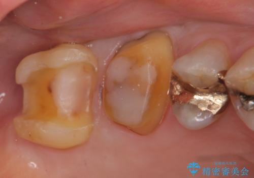
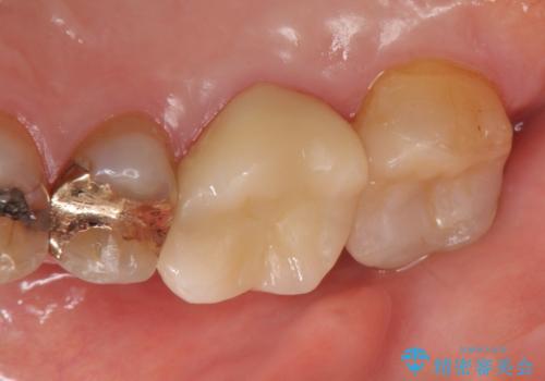
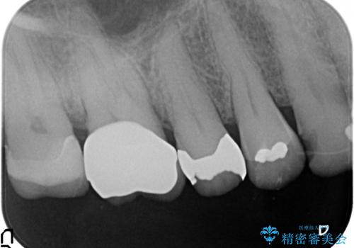
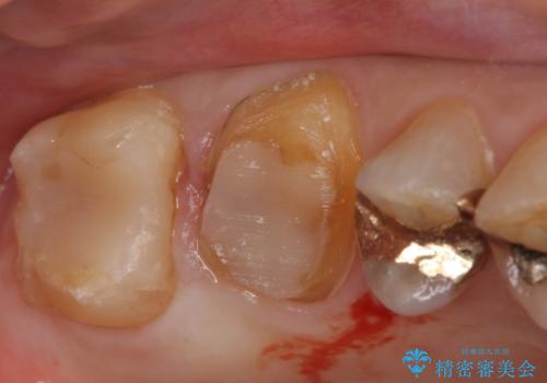
- 冷たいものがしみる右上の奥歯を治療して欲しいといらっしゃった方の症例です。
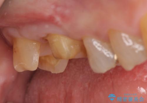
右上6,7の金歯を外したところ、虫歯が歯茎より深い位置まで進行していたため歯周外科を行いました。
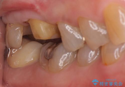
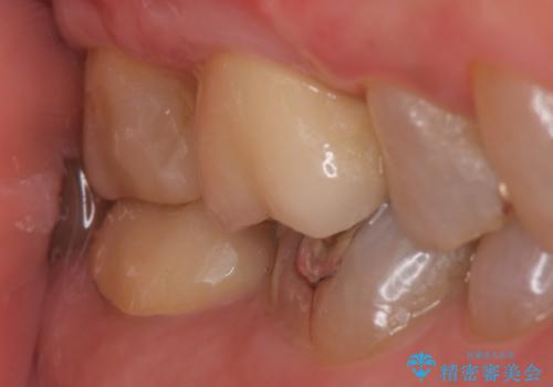
その後歯茎の回復を待ち、オールセラミッククラウンおよびセラミックインレーによる補綴・修復を行いました。
- 費用(概算)
- オールセラミッククラウン…¥100,000、仮歯…¥10,000、セラミックインレー…¥70,000、歯周外科手術…¥100,000費用は治療当時の料金となります
歯茎より深い虫歯の治療について
虫歯が進み歯茎より深くなってしまうと、虫歯を取り残してしまうリスク、樹脂の硬化の妨げ、補綴物の不適合、歯肉炎・歯周病のリスクの増大等様々な弊害が起こり得ます。
そのため当院では歯周外科手術(歯茎を下げる手術)や歯の挺出による、虫歯が歯茎より深いという問題の解決を推奨しております。
セラミックインレーについて
当院のセラミックインレーはemaxという強度と審美性に優れた材料を使用しています。
またプレス方式でインレーを製作しているため、削り出しで製作するCADCAMより優れた適合性も持ち合わせており、虫歯が再発しにくい修復物です。
オールセラミッククラウンについて
今回用いたオールセラミッククラウンはジルコニアフレームという白い素材の上にセラミックを盛っているため、審美性が非常に高いのが特徴です。
また、ジルコニアは人工ダイヤモンドの材料にも使われているほど高い強度を持っており、そのためオールセラミッククラウンは審美性だけでなく、奥歯やブリッジの補綴も可能とするクラウンです。
歯周病治療の注意事項(リスク・副作用など)
- 外科手術のため、術後に痛みや腫れ、違和感を伴います
- 歯周組織再生治療は患者様の状態によって術後の経過が異なります(見た目が改善しない場合もあります)
- 歯周組織再生治療は自費診療(保険適用外)となります
セラミック治療の注意事項(リスク・副作用など)
- 天然歯を削ります
- 硬い素材は天然歯を傷つけてしまう場合があります
- かみ合わせや歯ぎしりが強すぎる方はセラミックが割れてしまう可能性があります
- 自費診療(保険適用外治療)となります
当サイトの内容、テキスト、画像等の無断転載、複製、複写、盗用を固く禁じます。






















