症例詳細
Case detail
目立つ銀歯を白くしたい セラミック治療
治療症例の内容
- 診療科目
- 治療カテゴリ
- 担当医
- 患者様
- 20代女性
- 治療期間
- 3ヶ月
- 治療回数
- 2-5回
- 治療計画
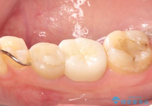
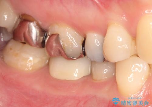
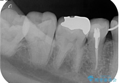
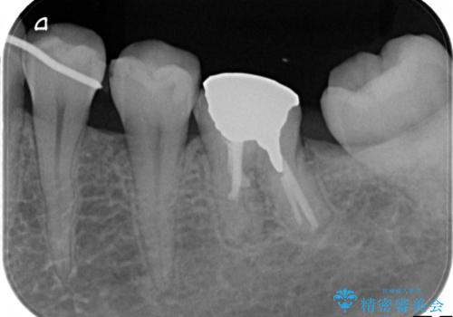
- 下顎の銀歯と、かぶせ物が外れたままになっている歯の治療を主訴に来院されました。
左下の奥歯はかぶせ物が外れて、土台が露出している状態でした。
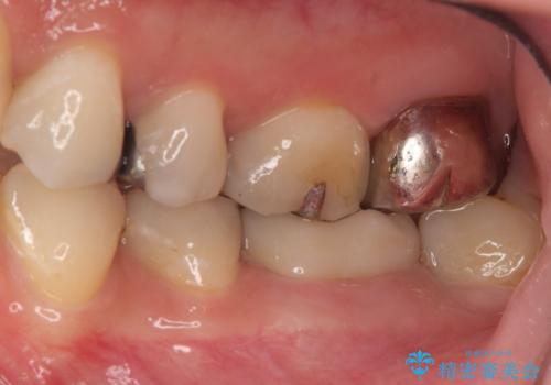
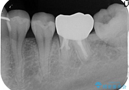
セラミッククラウンにて下顎の左右の歯にセラミッククラウンを装着する計画としました。
- 費用(概算)
- 約20万円費用は治療当時の料金となります
治療について
目立つところの銀歯がなくなり、審美的な改善ができました。
セラミック治療の注意事項(リスク・副作用など)
- 天然歯を削ります
- 硬い素材は天然歯を傷つけてしまう場合があります
- かみ合わせや歯ぎしりが強すぎる方はセラミックが割れてしまう可能性があります
- 自費診療(保険適用外治療)となります
当サイトの内容、テキスト、画像等の無断転載、複製、複写、盗用を固く禁じます。














