症例詳細
Case detail
マウスピース矯正 下顎前歯のがたつきの改善
治療症例の内容
- 担当医
- 患者様
- 20代女性
- 治療期間
- 7ヶ月
- 治療回数
- 5-10回
- 治療計画
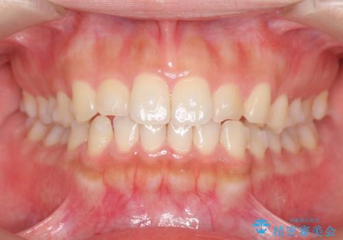
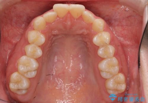
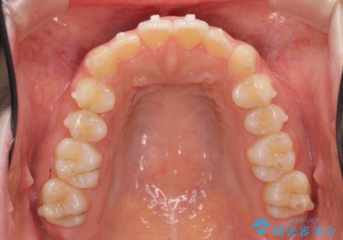
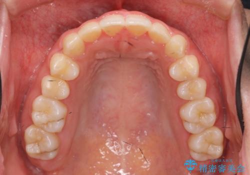
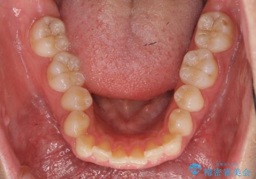
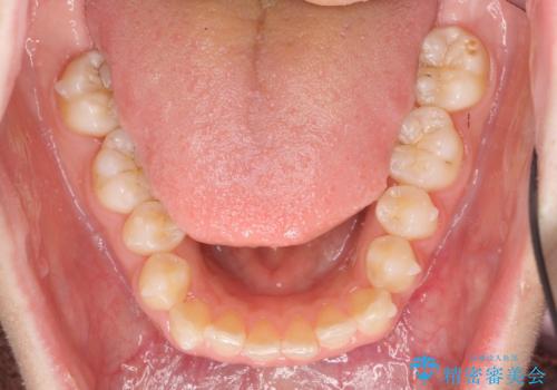
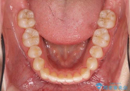
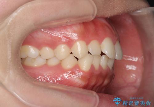
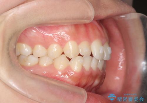
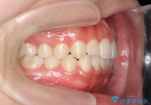
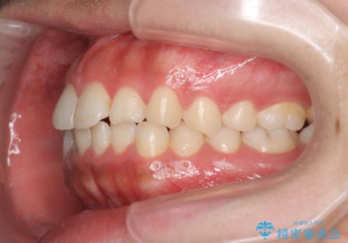
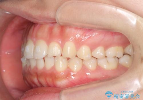
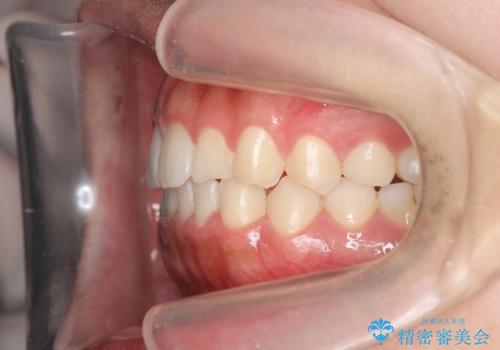
- 下顎前歯にものが詰まりやすく、全体的に歯が舌側に倒れているのが気になると当院にいらっしゃった方の症例です。
非抜歯(歯を抜かず)で、インビザラインによる矯正治療を行いました。
- 費用(概算)
- インビザライン…¥750,000費用は治療当時の料金となります
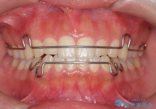
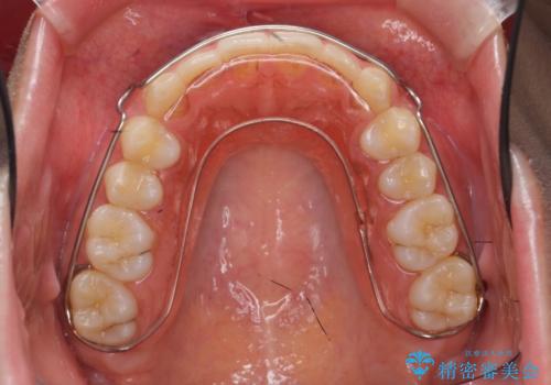
プレートタイプの保定装置について
当院では日中に使っていただく審美性に優れたマウスピースタイプの保定装置とは別に、プレートタイプの保定装置をお作りするすることもできます。
プレートタイプの保定装置は清掃性が高く、臼歯離開(上下の奥歯どうしに隙間ができる症状)等、咬み合わせの問題が生じにくいのが特徴です。
マウスピース矯正の注意事項(リスク・副作用など)
- 口腔内・歯並びの状態によっては対応できない場合があります
- マウスピース型矯正装置の長時間装着(1日20時間以上)が必須です
- 治療計画通りに進めるためには、患者様の意志が重要になります
- 矯正治療後の保定が不十分だと後戻り(元の位置に戻ろうとする動き)をします
- 薬機法対象外の矯正歯科装置のため医薬品副作用被害救済制度の対象外となる場合があります
- 自費診療(保険適用外)となります
当サイトの内容、テキスト、画像等の無断転載、複製、複写、盗用を固く禁じます。






















