症例詳細
Case detail
根管治療からのセラミック治療
治療症例の内容
- 診療科目
- 治療カテゴリ
- 担当医
- 患者様
- 40代女性
- 治療期間
- 2ヶ月
- 治療回数
- 2-5回
- 治療計画
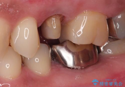
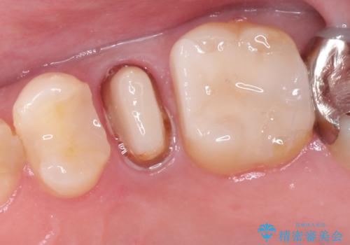
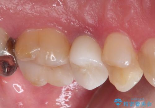
- 左上の後ろから3番目の歯のかぶせ物が適合不良であったので、根管治療を行い、オールセラミックを装着する計画としました。
またその隣の目立つ銀歯も同時に、セラミックに交換することとしました。
- 費用(概算)
- 約25万円費用は治療当時の料金となります
治療について
根管治療からかぶせ物まで精度の高い治療をおこないました。
セラミック治療の注意事項(リスク・副作用など)
- 天然歯を削ります
- 硬い素材は天然歯を傷つけてしまう場合があります
- かみ合わせや歯ぎしりが強すぎる方はセラミックが割れてしまう可能性があります
- 自費診療(保険適用外治療)となります
当サイトの内容、テキスト、画像等の無断転載、複製、複写、盗用を固く禁じます。










