症例詳細
Case detail
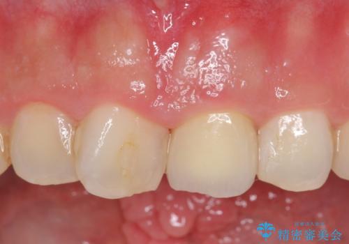
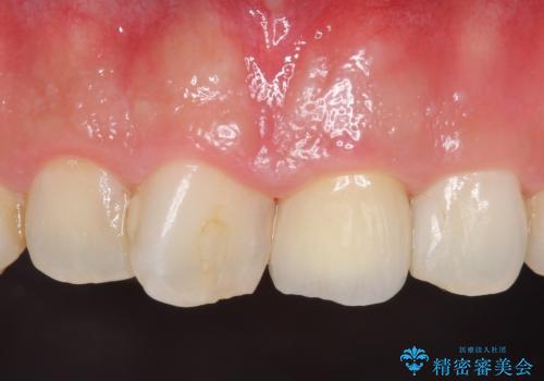
オールセラミッククラウン 長さが気になる前歯の改善
治療症例の内容
- 診療科目
- 治療カテゴリ
- 担当医
- 患者様
- 30代男性
- 治療期間
- 1ヶ月
- 治療回数
- 2-5回
- 治療計画
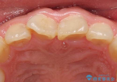
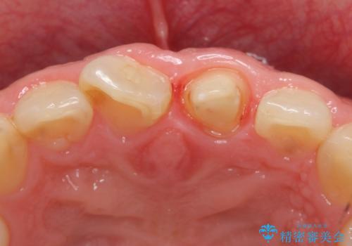
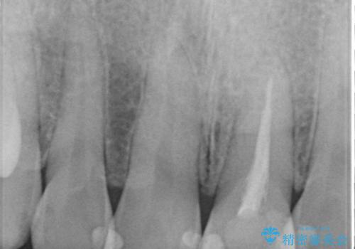
- 前歯の長さが気になるのでセラミックで治療したいといらっしゃった方の症例です。
御希望された再根管治療終了後、オールセラミッククラウンによる補綴を行いました。
- 費用(概算)
- オールセラミッククラウン…¥100,000、仮歯…¥10,000、ファイバーコア…¥20,000費用は治療当時の料金となります
オールセラミッククラウンについて
今回用いたオールセラミッククラウンはジルコニアフレームという白い素材の上にセラミックを盛っているため、審美性が非常に高いのが特徴です。
また、ジルコニアは人工ダイヤモンドの材料にも使われているほど高い強度を持っており、そのためオールセラミッククラウンは審美性だけでなく、奥歯やブリッジの補綴も可能とするクラウンです。
根管治療の注意事項(リスク・副作用など)
- 根管治療により類似の全ての症例の問題が解決するわけではなく、症例はあくまでも一例です
- 根管治療により痛みや腫れがひかない事や、術後に痛みや腫れが生じる事、治療によるファイル破折やパーフォレーションなどの偶発症、術後の歯根破折を生じる可能性もあります
- 自費診療(保険適用外)となります
セラミック治療の注意事項(リスク・副作用など)
- 天然歯を削ります
- 硬い素材は天然歯を傷つけてしまう場合があります
- かみ合わせや歯ぎしりが強すぎる方はセラミックが割れてしまう可能性があります
- 自費診療(保険適用外治療)となります
当サイトの内容、テキスト、画像等の無断転載、複製、複写、盗用を固く禁じます。













