症例詳細
Case detail
臼歯部 長期的に予知性の高いゴールドインレーへ
治療症例の内容
- 診療科目
- 治療カテゴリ
- 担当医
- 大元洋佑(ドクタープロフィール)
- 患者様
- 40代女性
- 治療期間
- 治療回数
- 2-5回
- 治療計画
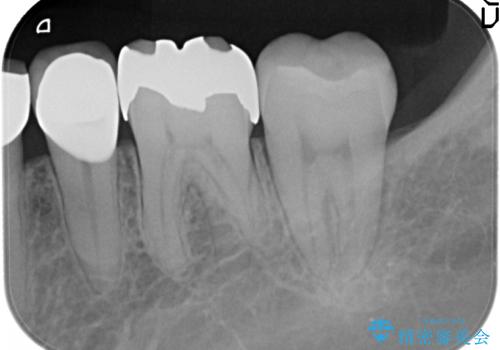
- 奥歯に以前充填した部分に時折知覚過敏があり改善を希望され来院されました。
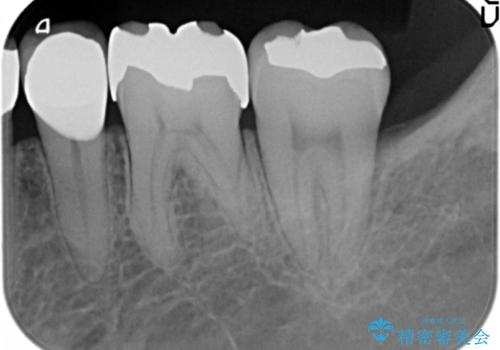
長期的にみて劣化の早いコンポジットレジンを除去後、しっかりと噛んでいる歯なのでセラミックに比べ壊れたりかけたりすることの少ないゴールドで修復する計画を立てます。
- 費用(概算)
- 6万円 ゴールドインレー費用は治療当時の料金となります
ゴールドインレーについて
ゴールドインレーは色こそ金属色がでてしまいますが、適合・耐腐食性に優れ壊れることの少ない修復物として理想的な素材です。
PGA(ゴールド)クラウン、インレーの注意事項(リスク・副作用など)
- インレーおよびクラウンは脱離するリスクがあります
- 形成量はセラミックより少ないですが、歯の形成、修復後に歯に症状が出ることがあります
- 自費診療(保険適用外治療)となります
当サイトの内容、テキスト、画像等の無断転載、複製、複写、盗用を固く禁じます。




