症例詳細
Case detail
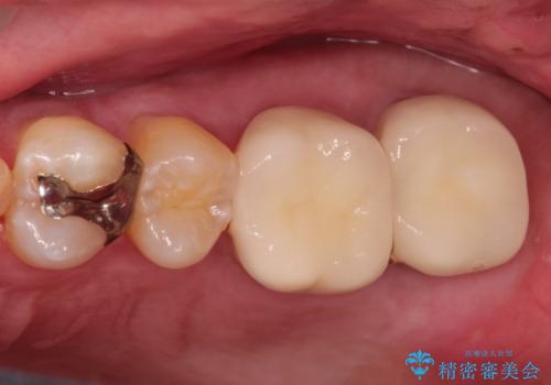
目立つ金歯を自然な色のオールセラミックへ
治療症例の内容
- 診療科目
 
- 治療カテゴリ
 
- 担当医
 
- 患者様
 - 30代男性
 
- 治療期間
 - 2ヶ月
 
- 治療回数
 - 2-5回
 
- 治療計画
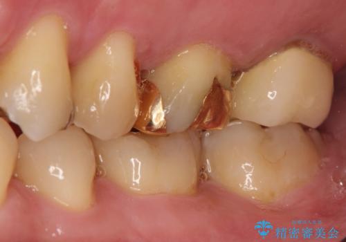
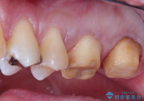
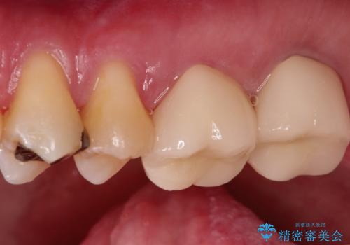
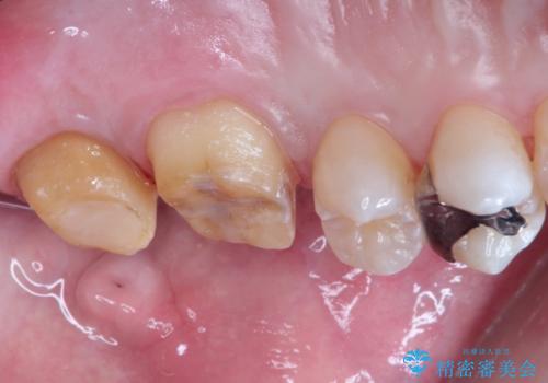
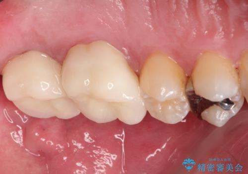
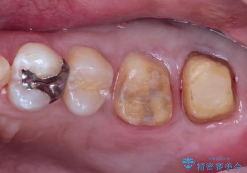
 - 矯正の治療後に目立つ金歯を白くしたいとのことで治療することとなりました。
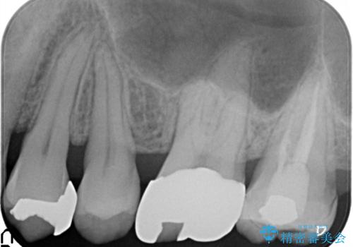
左上の奥歯に大きな金歯と、その後ろの歯が矯正治療用の仮歯が装着されていました。
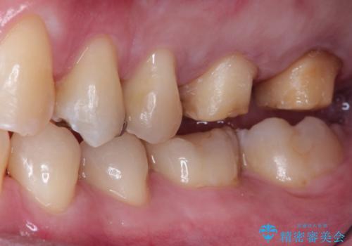
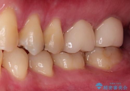
これらの歯にオールセラミッククラウンを装着することとなりました。 
- 費用(概算)
 - 約24万円費用は治療当時の料金となります
 
治療について
総合治療が可能な当院ならば、矯正後のセラミックの装着がスムーズに行うことが可能です。
セラミック治療の注意事項(リスク・副作用など)
- 天然歯を削ります
 - 硬い素材は天然歯を傷つけてしまう場合があります
 - かみ合わせや歯ぎしりが強すぎる方はセラミックが割れてしまう可能性があります
 - 自費診療(保険適用外治療)となります
 
当サイトの内容、テキスト、画像等の無断転載、複製、複写、盗用を固く禁じます。

                      












