症例詳細
Case detail
適合が悪いかぶせ物と詰め物の再治療
治療症例の内容
- 診療科目
- 治療カテゴリ
- 担当医
- 患者様
- 40代女性
- 治療期間
- 1ヶ月
- 治療回数
- 2-5回
- 治療計画
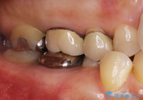
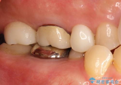
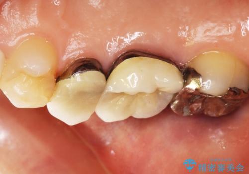
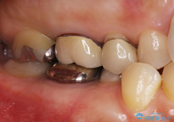
- 右上の奥歯がしみるとのことで確認すると、右上の一番奥の歯の銀歯の下が虫歯になっていました。
かなり大きな銀歯が装着されていたので、かぶせ物にて治療を行うこととなりました。
同時に右上の後ろから3番目の歯のかぶせ物も適合が悪かったので同時に治療することとなりました。
- 費用(概算)
- 約22万円費用は治療当時の料金となります
治療について
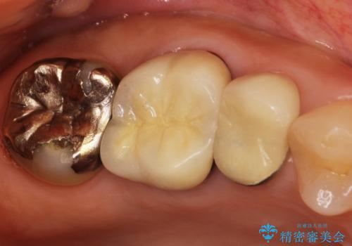
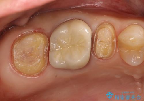
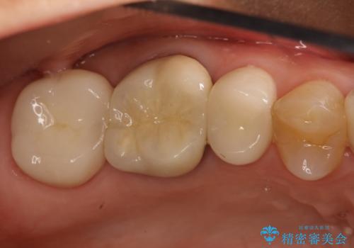
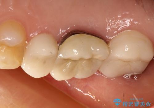
虫歯もしっかり除去して、適合の良い補綴物を装着しました。
セラミック治療の注意事項(リスク・副作用など)
- 天然歯を削ります
- 硬い素材は天然歯を傷つけてしまう場合があります
- かみ合わせや歯ぎしりが強すぎる方はセラミックが割れてしまう可能性があります
- 自費診療(保険適用外治療)となります
当サイトの内容、テキスト、画像等の無断転載、複製、複写、盗用を固く禁じます。









