症例詳細
Case detail
八重歯の治療 仕上がり重視で
治療症例の内容
- 担当医
- 井上季実子(ドクタープロフィール)
- 患者様
- 20代女性
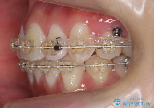
- 矯正装置
- 審美装置
- 治療期間
- 2年3ヶ月
- 治療回数
- 10-30回
- 治療計画
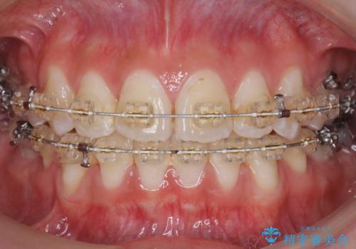
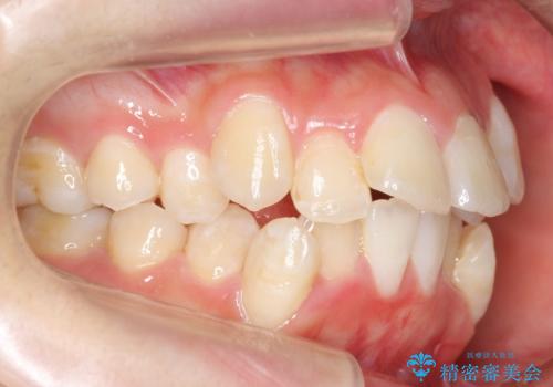
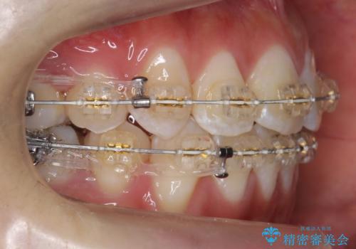
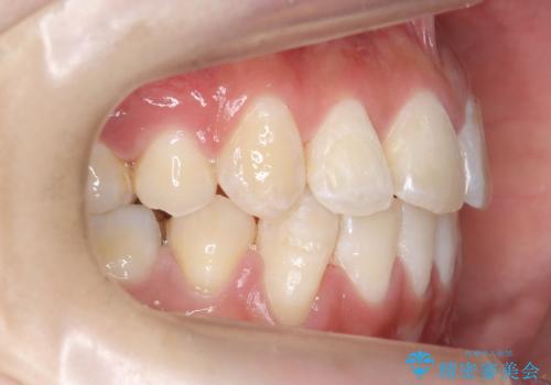
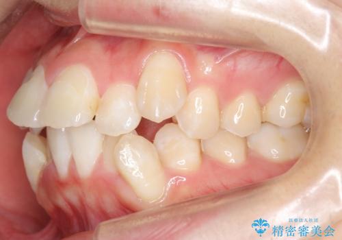
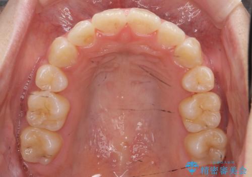
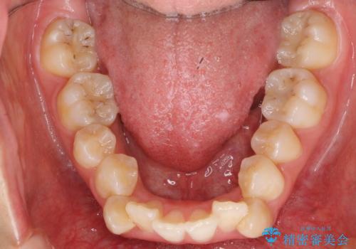
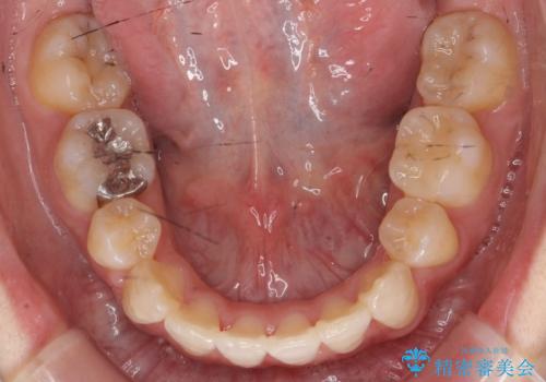
- 八重歯を主訴に来院。
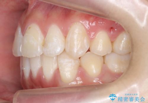
仕上がり重視とのことで、小臼歯を抜歯し、スタンダードな治療方法で仕上げています。
- 費用(概算)
- 95万円費用は治療当時の料金となります
治療について
上下の小臼歯を抜歯しています。
矯正用インプラントアンカーを使用してしっかり前歯を下げたため、口元が大きく改善しています。
マウスピース矯正の注意事項(リスク・副作用など)
- 口腔内・歯並びの状態によっては対応できない場合があります
- マウスピース型矯正装置の長時間装着(1日20時間以上)が必須です
- 治療計画通りに進めるためには、患者様の意志が重要になります
- 矯正治療後の保定が不十分だと後戻り(元の位置に戻ろうとする動き)をします
- 薬機法対象外の矯正歯科装置のため医薬品副作用被害救済制度の対象外となる場合があります
- 自費診療(保険適用外)となります
当サイトの内容、テキスト、画像等の無断転載、複製、複写、盗用を固く禁じます。





















