症例詳細
Case detail
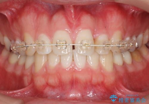
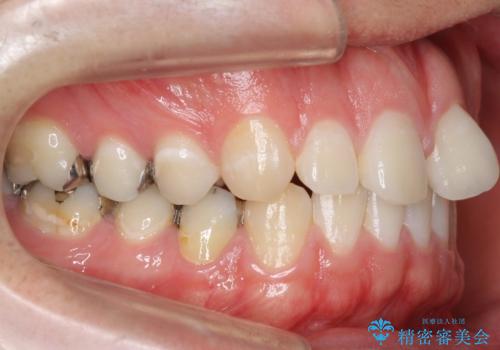
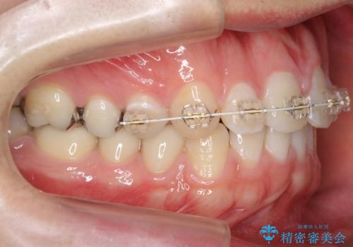
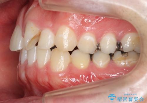
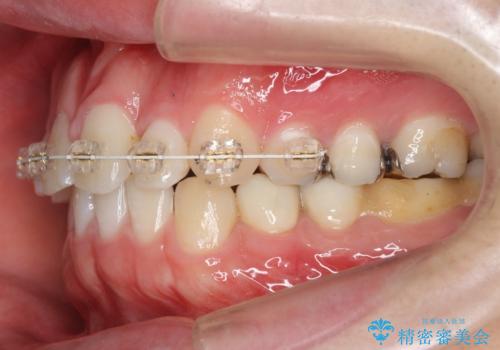
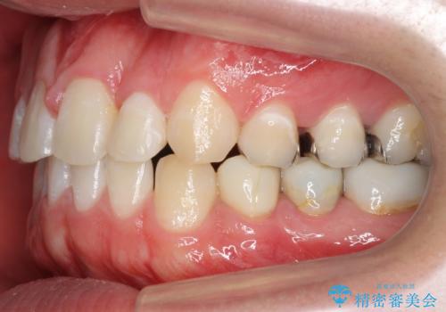
前歯のねじれ 上だけ部分矯正でコストダウン
治療症例の内容
- 担当医
- 井上季実子(ドクタープロフィール)
- 患者様
- 20代男性
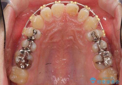
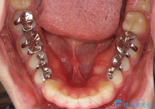
- 矯正装置
- 審美装置
- 治療期間
- 4ヶ月
- 治療回数
- 5-10回
- 治療計画
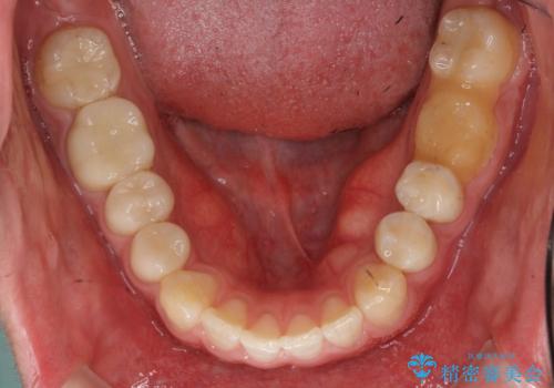
- 前歯のねじれを部分矯正で治療しました。
奥歯のかみ合わせを変えずに、費用を抑えて短期間に治療したい方におすすめです。
矯正前に、後戻り防止のため上唇小帯の処置を行っています。
https://seimitsushinbi.jp/case/24581/
- 費用(概算)
- 30万円費用は治療当時の料金となります
治療について
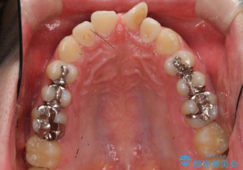
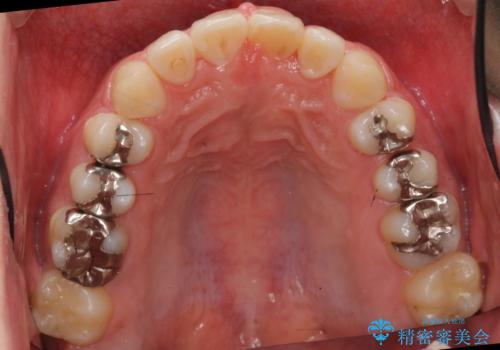
奥歯のかみあわせも問題なく、また、下の前歯のがたつきが元からない場合は上の部分矯正が十分可能です。
上下親知らずの抜歯や虫歯処置も矯正前後で行っています。
ワイヤー矯正の注意事項(リスク・副作用など)
- 治療中は違和感や痛みが起こることがあります
- 症状により、抜歯が必要な場合があります
- 治療中は歯磨きがしにくくなるため、虫歯や歯周病になりやすくなります
- 矯正治療後の保定が不十分だと後戻り(元の位置に戻ろうとする動き)をします
- 自費診療(保険適用外)となります
当サイトの内容、テキスト、画像等の無断転載、複製、複写、盗用を固く禁じます。



















