症例詳細
Case detail
再矯正 一度抜かないでやったが、やっぱり抜いて口元下げたい
治療症例の内容
- 診療科目
- 担当医
- 井上季実子(ドクタープロフィール)
- 患者様
- 20代女性
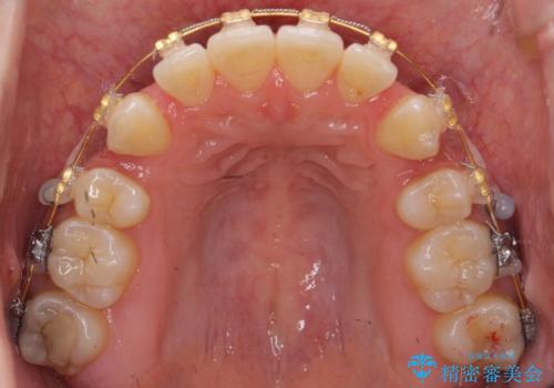
- 矯正装置
- 審美装置
- 治療期間
- 2年6ヶ月
- 治療回数
- 10-30回
- 治療計画
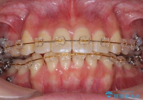
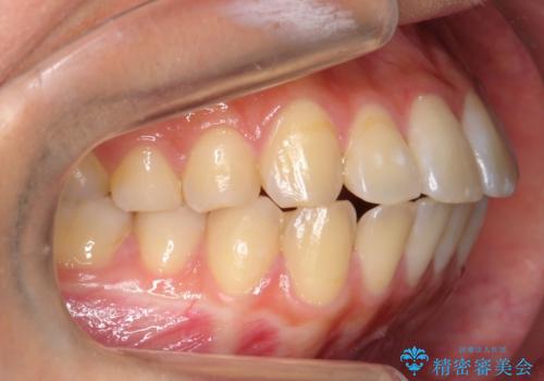
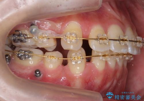
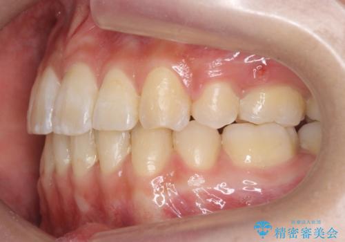
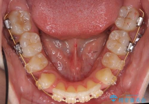
- 他院で一度抜かずに矯正を行ったが、前歯が出っ歯の角度になってしまったのが気になるとのことでした。
また、リテーナーとして前歯の裏につけたワイヤーが脱離を頻繁に繰り返すため、嫌になってしまったとのことでした。
当院で抜歯矯正をすることになりました。
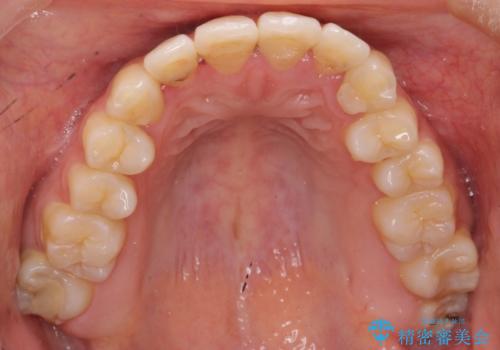
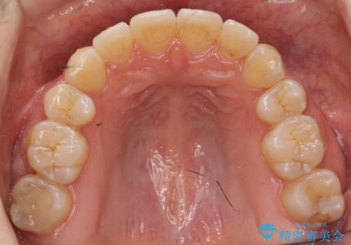
上下左右の小臼歯を抜歯しています。
- 費用(概算)
- 95万円費用は治療当時の料金となります
治療について
口元が大きく下がり、横顔が大きく変わりました。唇が大きくElineを超えないようになりました。
ワイヤー矯正の注意事項(リスク・副作用など)
- 治療中は違和感や痛みが起こることがあります
- 症状により、抜歯が必要な場合があります
- 治療中は歯磨きがしにくくなるため、虫歯や歯周病になりやすくなります
- 矯正治療後の保定が不十分だと後戻り(元の位置に戻ろうとする動き)をします
- 自費診療(保険適用外)となります
当サイトの内容、テキスト、画像等の無断転載、複製、複写、盗用を固く禁じます。





















