症例詳細
Case detail
前歯の変色 セラミックで ホワイトニングも併用
治療症例の内容
- 患者様
- 20代女性
- 治療期間
- 2ヶ月
- 治療回数
- 2-5回
- 治療計画
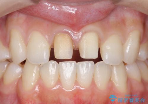
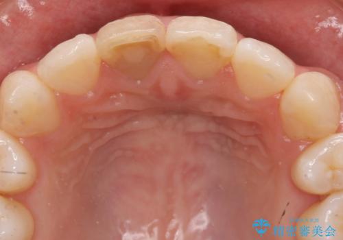
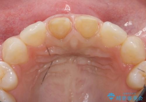
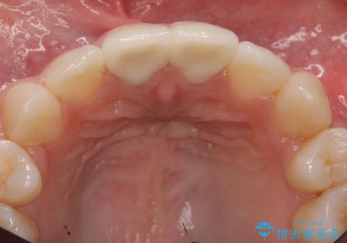
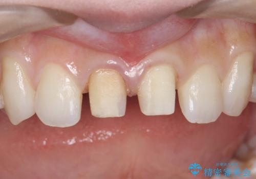
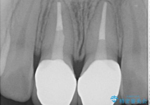
- 神経のない前歯が変色していたため、矯正治療後にセラミックで修復しました。
セラミックの前に、全体をオフィスホワイトニング(エクセレント)して周りの歯を白くして色をなじませました。
右の前歯は当院で根管治療をやり直しています。(根管治療はDr.大元が担当しました。)
矯正治療の経過はこちら
https://seimitsushinbi.jp/case/41245/
- 費用(概算)
- 38万円(上顎両側1:ジルコニアクラウン スタンダード 10万円x2、ファイバーコア 2万円x2、 精密根管治療(再治療)9万円x1、仮歯 1万円x2)、ホワイトニング(エクセレント)3万円費用は治療当時の料金となります
治療について
神経をとった前歯は変色してきますので、セラミックで被せた方が良いです。
また、神経が無い歯は虫歯になっても自覚症状が出ないため、劣化するプラスチックで継ぎはぎするのは変色も防げないですし、オススメしません。歯が薄くなっており、破折のリスクがあるため、クラウンをおすすめします。
セラミック治療の注意事項(リスク・副作用など)
- 天然歯を削ります
- 硬い素材は天然歯を傷つけてしまう場合があります
- かみ合わせや歯ぎしりが強すぎる方はセラミックが割れてしまう可能性があります
- 自費診療(保険適用外治療)となります
根管治療の注意事項(リスク・副作用など)
- 根管治療により類似の全ての症例の問題が解決するわけではなく、症例はあくまでも一例です
- 根管治療により痛みや腫れがひかない事や、術後に痛みや腫れが生じる事、治療によるファイル破折やパーフォレーションなどの偶発症、術後の歯根破折を生じる可能性もあります
- 自費診療(保険適用外)となります
ホワイトニングの注意事項(リスク・副作用など)
- 知覚過敏が出ることがあります
- ホワイトバンドや白い斑点が出ることがあります
- クラウンやインレー等の補綴物には効果がありません
- ホワイトニングによる効果や持続期間には個人差があります
- 歯牙の状態によっては適応できないことがあります
- 保険適用外となります
当サイトの内容、テキスト、画像等の無断転載、複製、複写、盗用を固く禁じます。












