症例詳細
Case detail
40代の矯正 出っ歯、歯のがたがた
治療症例の内容
- 診療科目
- 担当医
- 井上季実子(ドクタープロフィール)
- 患者様
- 40代女性
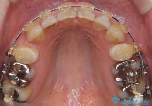
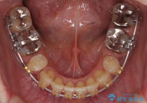
- 矯正装置
- 審美装置
- 治療期間
- 3年3ヶ月
- 治療回数
- 10-30回
- 治療計画
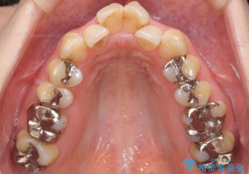
- 40代になってから、矯正治療で前歯をきれいに並べられる事を知り、矯正を希望されました。
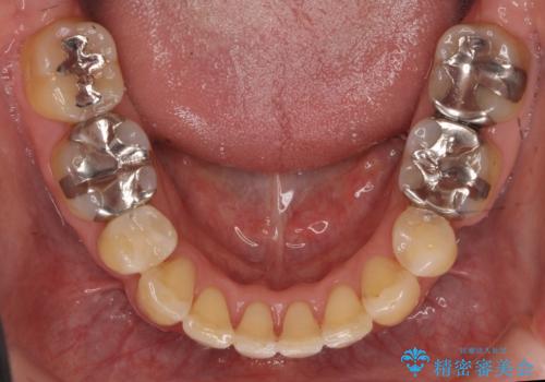
奥歯のかみ合わせのずれと、前歯のがたつきがありました。
上下左右の小臼歯を抜歯しています。
- 費用(概算)
- 95万円費用は治療当時の料金となります
治療について
叢生も著しく、少し年齢が上がってからの矯正治療となり、結果ブラックトライアングルが出てしまいましたが、並びの改善で非常に満足していただけました。
ワイヤー矯正の注意事項(リスク・副作用など)
- 治療中は違和感や痛みが起こることがあります
- 症状により、抜歯が必要な場合があります
- 治療中は歯磨きがしにくくなるため、虫歯や歯周病になりやすくなります
- 矯正治療後の保定が不十分だと後戻り(元の位置に戻ろうとする動き)をします
- 自費診療(保険適用外)となります
当サイトの内容、テキスト、画像等の無断転載、複製、複写、盗用を固く禁じます。






















