症例詳細
Case detail
前歯が1本内側に引っ込んでいる ワイヤーによる抜歯矯正
治療症例の内容
- 診療科目
- 担当医
- 患者様
- 20代女性
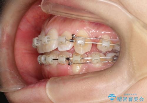
- 矯正装置
- 審美装置
- 治療期間
- 1年10ヶ月
- 治療回数
- 10-30回
- 治療計画
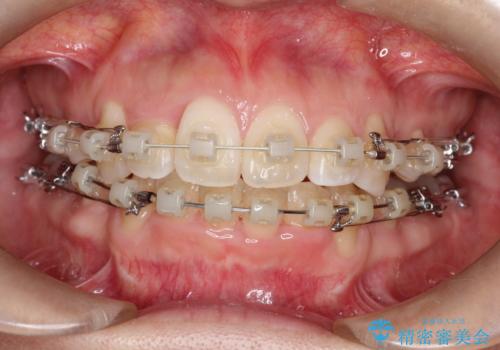
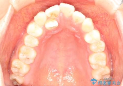
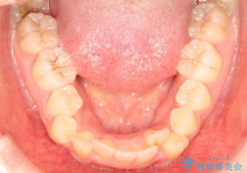
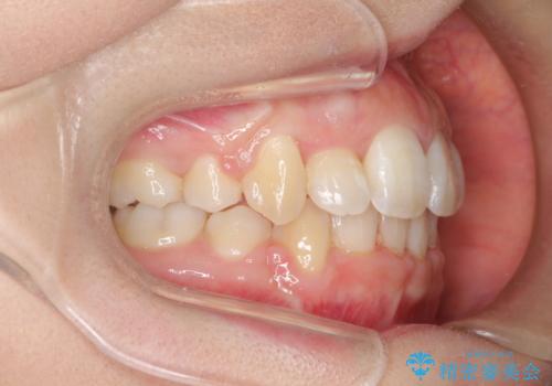
- 上下の前歯が1本ずつ内側に引っ込んでいるのがきになるとのことで来院されました。
中等度のガタつきと、口元の突出感がありました。
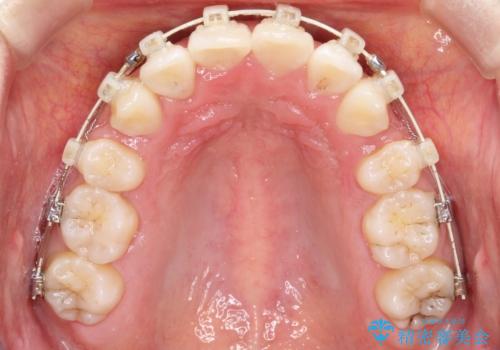
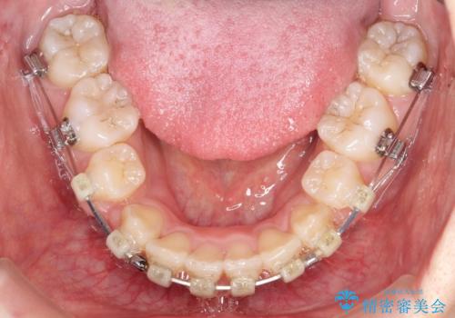
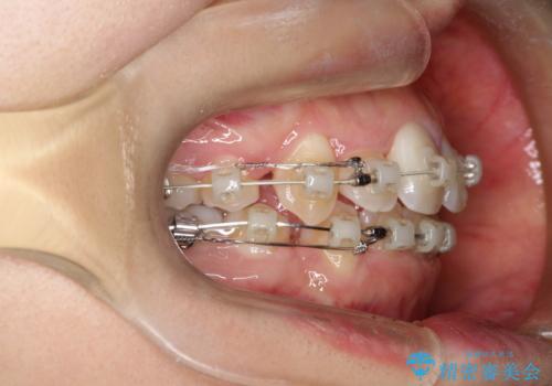
上下左右1本ずつ、合計4本抜歯してワイヤー矯正をすることとなりました。
- 費用(概算)
- 約95万円費用は治療当時の料金となります
治療について
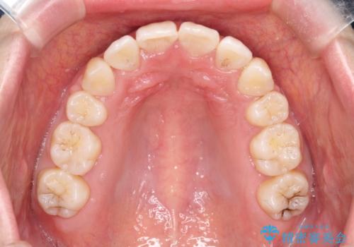
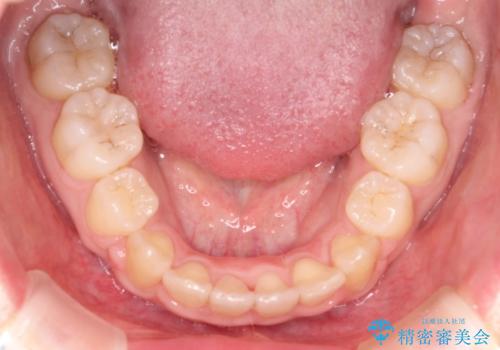
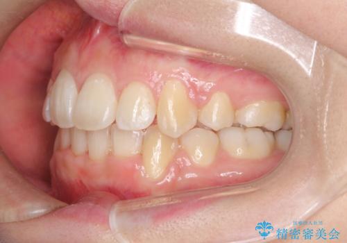
抜歯矯正を行うことで、がたがたも改善し、口元もすっきりさせることができました。
ワイヤー矯正の注意事項(リスク・副作用など)
- 治療中は違和感や痛みが起こることがあります
- 症状により、抜歯が必要な場合があります
- 治療中は歯磨きがしにくくなるため、虫歯や歯周病になりやすくなります
- 矯正治療後の保定が不十分だと後戻り(元の位置に戻ろうとする動き)をします
- 自費診療(保険適用外)となります
当サイトの内容、テキスト、画像等の無断転載、複製、複写、盗用を固く禁じます。



















