症例詳細
Case detail
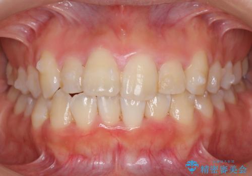
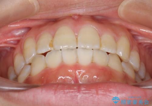
上下の前歯のがたつき 歯を抜かずに矯正
治療症例の内容
- 患者様
- 20代女性
- 矯正装置
- インビザライン フル
- 治療期間
- 1年3ヶ月
- 治療回数
- 10-30回
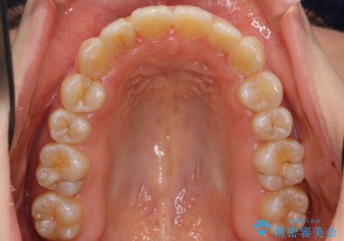
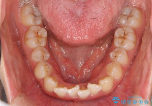
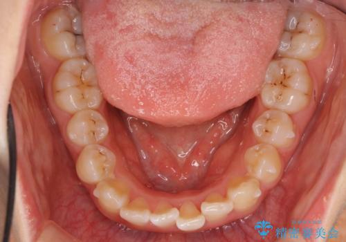
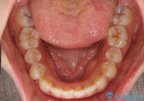
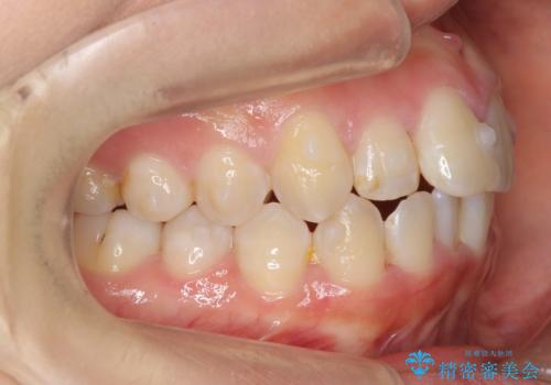
- 治療計画
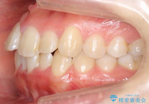
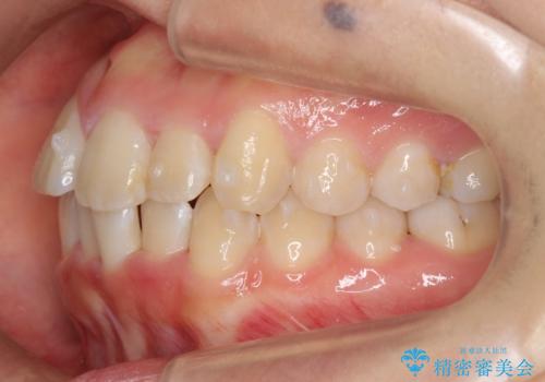
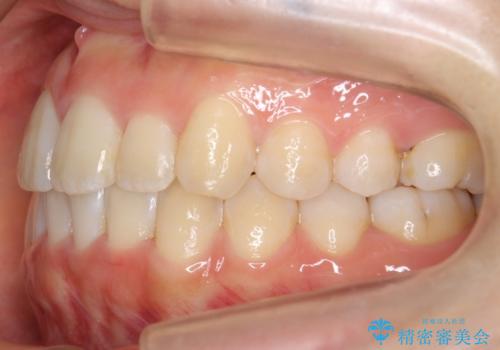
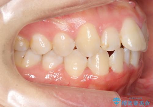
- 上下の前歯のがたつきを主訴に来院。
歯を抜かずに前歯を揃えています。
- 費用(概算)
- 85万円費用は治療当時の料金となります
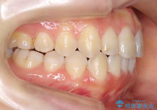
治療について
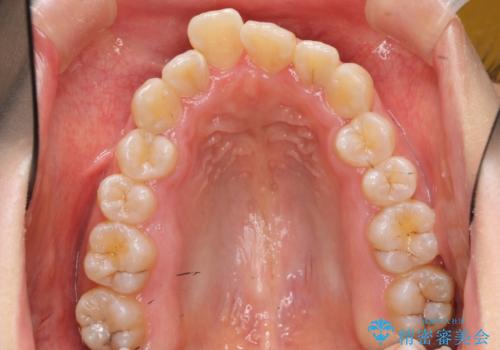
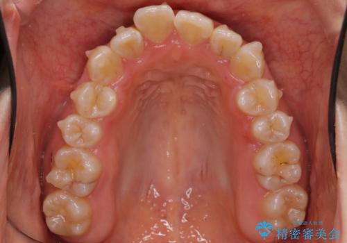
奥歯を後ろに下げたりなどはしていません。
奥歯を外に広げ、前歯中心に歯を少し削っていますが、健康には問題ない範囲で行なっています。
マウスピース矯正の注意事項(リスク・副作用など)
- 口腔内・歯並びの状態によっては対応できない場合があります
- マウスピース型矯正装置の長時間装着(1日20時間以上)が必須です
- 治療計画通りに進めるためには、患者様の意志が重要になります
- 矯正治療後の保定が不十分だと後戻り(元の位置に戻ろうとする動き)をします
- 薬機法対象外の矯正歯科装置のため医薬品副作用被害救済制度の対象外となる場合があります
- 自費診療(保険適用外)となります
当サイトの内容、テキスト、画像等の無断転載、複製、複写、盗用を固く禁じます。





















