症例詳細
Case detail
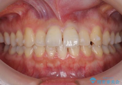
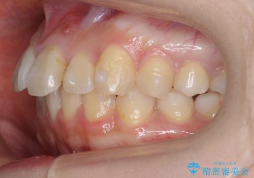
軽度の前歯のがたつき 下の前歯が生まれつき少ない
治療症例の内容
- 担当医
- 井上季実子(ドクタープロフィール)
- 患者様
- 20代女性
- 矯正装置
- インビザライン フル
- 治療期間
- 1年
- 治療回数
- 10-30回
- 治療計画
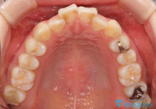
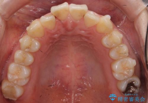
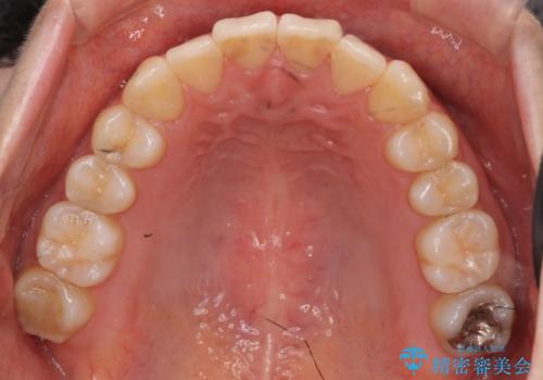
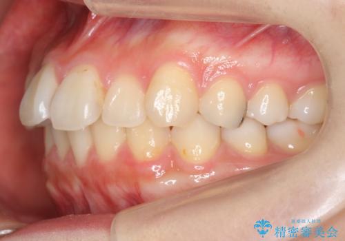
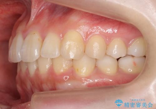
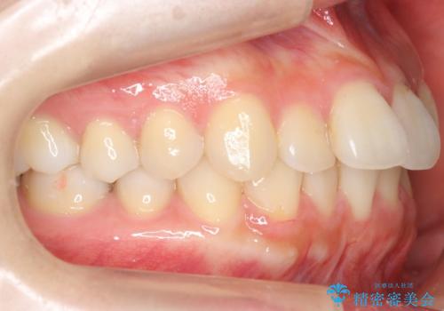
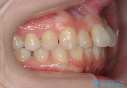
- 前歯のがたつきを主訴に来院。
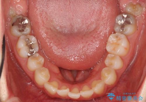
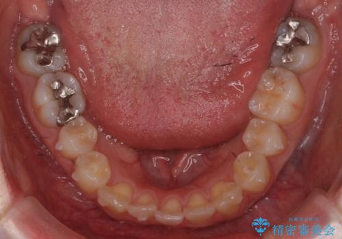
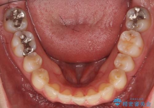
下の前歯が生まれつき3本でした。
そのため、上の前歯が少し余るような形で出っ歯になっていたため、スペースを作って引っ込めています。
- 費用(概算)
- 75万円費用は治療当時の料金となります
治療について
下を3本でそのまま並べてあるため、上下の正中は合いません。
合わせようとすると抜歯か、下の隙間を無理やり開けてブリッジとなりますが、そこまでするメリットがないため、下はそのままの歯の数を生かしています。
マウスピース矯正の注意事項(リスク・副作用など)
- 口腔内・歯並びの状態によっては対応できない場合があります
- マウスピース型矯正装置の長時間装着(1日20時間以上)が必須です
- 治療計画通りに進めるためには、患者様の意志が重要になります
- 矯正治療後の保定が不十分だと後戻り(元の位置に戻ろうとする動き)をします
- 薬機法対象外の矯正歯科装置のため医薬品副作用被害救済制度の対象外となる場合があります
- 自費診療(保険適用外)となります
当サイトの内容、テキスト、画像等の無断転載、複製、複写、盗用を固く禁じます。

















