症例詳細
Case detail
親知らずの移植 70代男性
治療症例の内容
- 診療科目
- 担当医
- 患者様
- 70代男性
- 治療期間
- 4ヶ月
- 治療回数
- 2-5回
- 治療計画
- 左下奥歯の歯ぐきから膿が腫れてきたことを主訴に来院された患者様です。
(以前自家歯牙移植を行った患者様からのご紹介でした。→https://seimitsushinbi.jp/case/9812/)
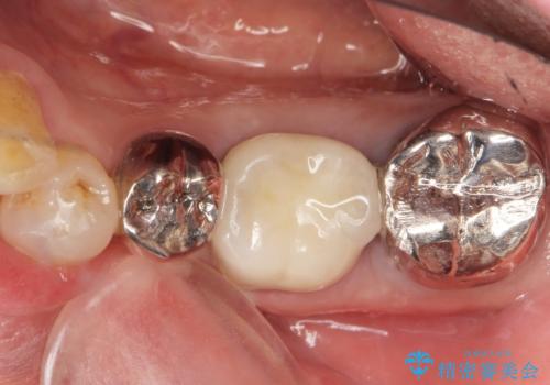
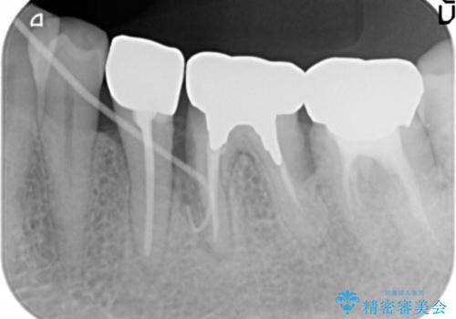
精査したところ奥歯(左下6)が破折しており、保存不可能と診断されました。
インプラント・入れ歯・自家歯牙移植(親知らずの移植)の選択肢を提案させて頂いたところ、自家歯牙移植をご希望されました。
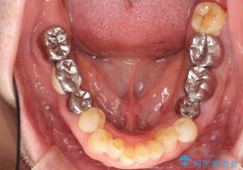
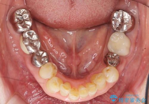
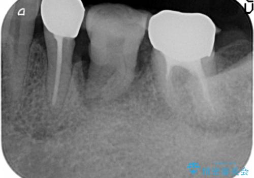
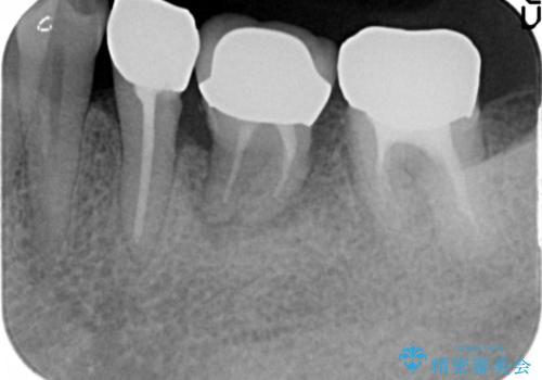
保存不可能な奥歯(左下6)を抜歯し、機能していない親知らず(左下8)の移植を行いました。
移植後、生着を待って根管治療及び補綴修復を行いました。
- 費用(概算)
- ¥250,000 (自家歯牙移植、根管治療、仮歯、土台、被せ物)費用は治療当時の料金となります
治療について
機能していない親知らずを用いて咬合を回復することができ、喜んで頂けました。
自家歯牙移植は40歳以上の場合、若年者に比べ成功率が低くなるとの報告もありますが、状態により移植が可能な場合もあります。
患者様のモチベーションが上がり、他の部位の治療も希望され現在治療中です。
また、プラークコントロール不良のためブラッシング指導も行っております。
被せ物の種類:メタルボンドクラウン エコノミー
自家歯牙移植の注意事項(リスク・副作用など)
- 外科手術のため、術後に痛みや腫れ、違和感を伴います
- 適応範囲に制限があります(健康な親知らず・移植歯が必要など)
- 移植歯が生着しない可能性があります
- 予後が不安定で歯によっては長く持たない可能性があります
セラミック治療の注意事項(リスク・副作用など)
- 天然歯を削ります
- 硬い素材は天然歯を傷つけてしまう場合があります
- かみ合わせや歯ぎしりが強すぎる方はセラミックが割れてしまう可能性があります
- 自費診療(保険適用外治療)となります
当サイトの内容、テキスト、画像等の無断転載、複製、複写、盗用を固く禁じます。
























