症例詳細
Case detail
前歯のクロスバイト インビザラインによる矯正治療
治療症例の内容
- 診療科目
- 担当医
- 藤巻太一朗(ドクタープロフィール)
- 患者様
- 30代男性
- 矯正装置
- インビザライン
- 治療期間
- 1年7ヶ月
- 治療回数
- 10-30回
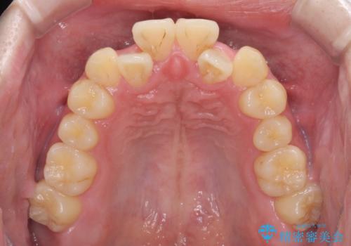
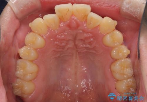
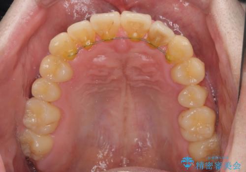
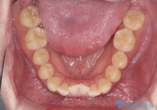
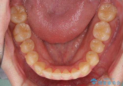
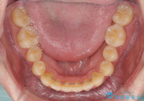
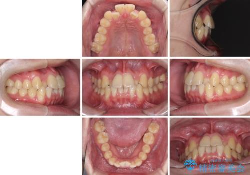
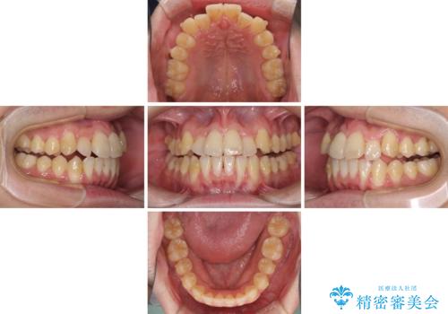
- 治療計画
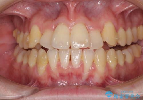
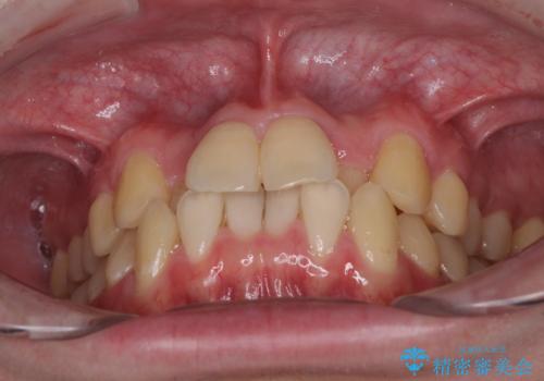
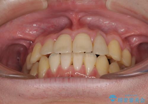
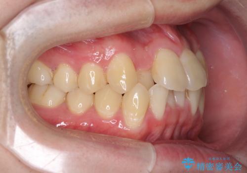
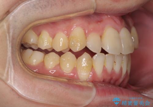
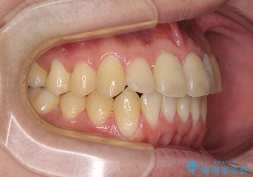
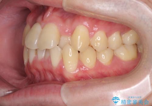
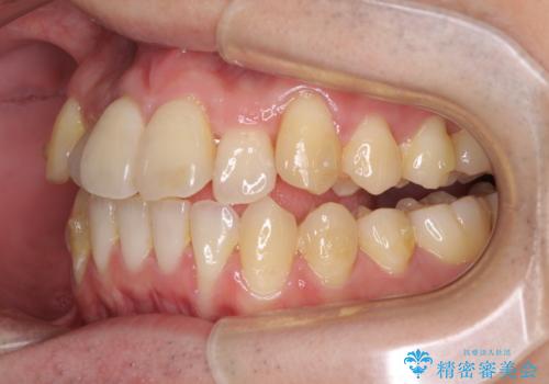
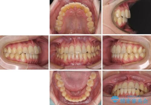
- 上下のクロスバイトと前歯のデコボコを気にして来院された患者様です。
インビザラインを用い、IPR(歯と歯の間を削る)と歯列全体を拡大させることで、歯並びを整えていくこととしました。
上下ともに歯列全体を後方に移動させるため、上下の親知らずを抜歯することとしました。
- 費用(概算)
- 治療費の目安: 75万円費用は治療当時の料金となります
治療について
奥に位置していた上の前歯が下の前歯を乗り越える際、奥歯でものを咬むことができず、辛い時期が続きました。
マウスピース矯正の注意事項(リスク・副作用など)
- 口腔内・歯並びの状態によっては対応できない場合があります
- マウスピース型矯正装置の長時間装着(1日20時間以上)が必須です
- 治療計画通りに進めるためには、患者様の意志が重要になります
- 矯正治療後の保定が不十分だと後戻り(元の位置に戻ろうとする動き)をします
- 薬機法対象外の矯正歯科装置のため医薬品副作用被害救済制度の対象外となる場合があります
- 自費診療(保険適用外)となります
当サイトの内容、テキスト、画像等の無断転載、複製、複写、盗用を固く禁じます。




























