症例詳細
Case detail
虫歯による歯の喪失 ジルコニアブリッジの製作
治療症例の内容
- 診療科目
- 治療カテゴリ
- 担当医
- 大元洋佑(ドクタープロフィール)
- 患者様
- 30代女性
- 治療期間
- 5ヶ月
- 治療回数
- 2-5回
- 治療計画
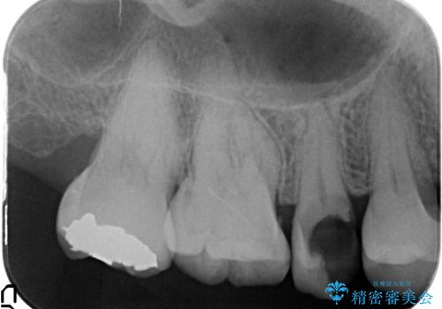
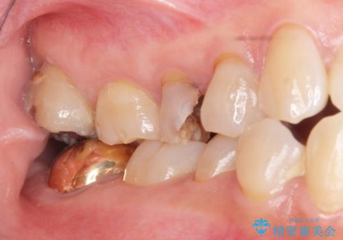
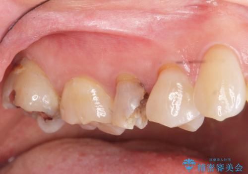
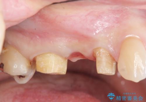
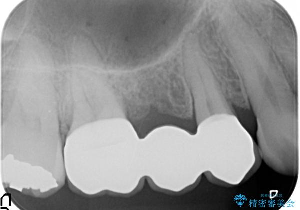
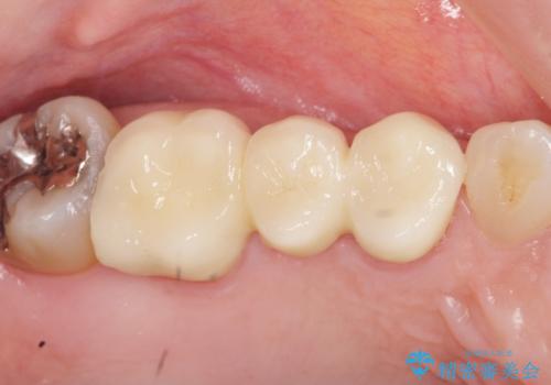
- 大きく歯が欠けてしまった虫歯の治療を希望され来院されました。
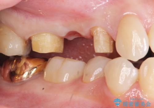
虫歯による歯の崩壊で歯を残すことが難しかったので抜歯を行い、インプラント・入れ歯ではなくブリッジによる咬合機能の回復を希望されました。
- 費用(概算)
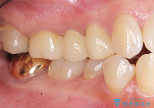
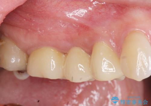
- 33万円(仮歯・ジルコニアクラウン×3)費用は治療当時の料金となります
ブリッジ治療について
ブリッジは隣の歯を削り、クラウンにしなければならないというデメリットはありますがインプラントと異なり手術をしなくてもよく、入れ歯よりも一般的にしっかりと噛むことができます。
セラミック治療の注意事項(リスク・副作用など)
- 天然歯を削ります
- 硬い素材は天然歯を傷つけてしまう場合があります
- かみ合わせや歯ぎしりが強すぎる方はセラミックが割れてしまう可能性があります
- 自費診療(保険適用外治療)となります
当サイトの内容、テキスト、画像等の無断転載、複製、複写、盗用を固く禁じます。














