症例詳細
Case detail
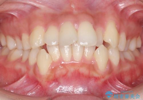
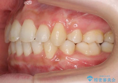
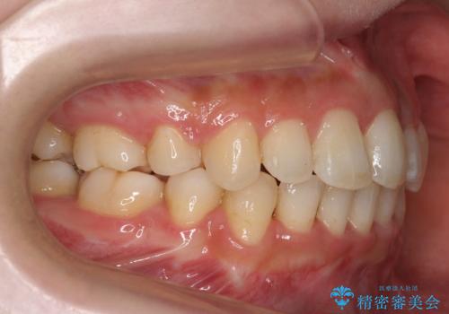
20代女性 口元を下げたい 前歯のがたつき
治療症例の内容
- 担当医
- 井上季実子(ドクタープロフィール)
- 患者様
- 20代女性
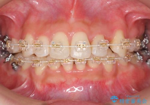
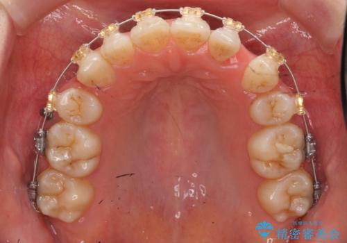
- 矯正装置
- 審美装置
- 治療期間
- 2年6ヶ月
- 治療回数
- 10-30回
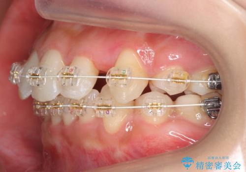
- 治療計画
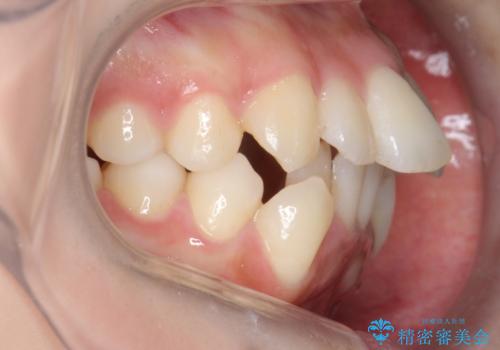
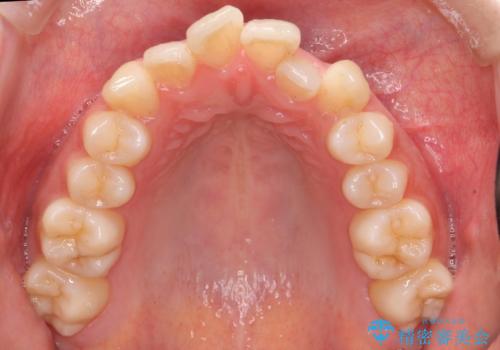
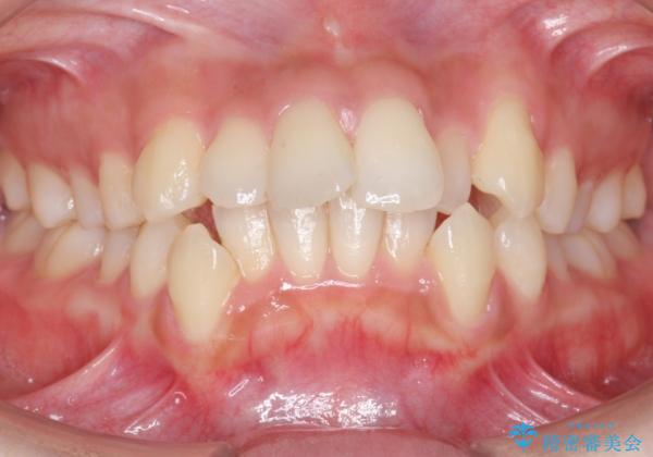
- 前歯のがたがたを主訴に来院。
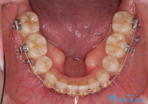
上下左右の小臼歯を抜歯しています。
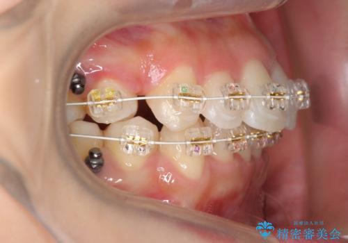
マイクロインプラントを使用し、しっかり前歯を下げています。
- 費用(概算)
- 90万円(通院費、リテーナー代込み)費用は治療当時の料金となります
治療について
途中、結婚式があり装置を一時的に撤去したため、多少時間がかかっています。
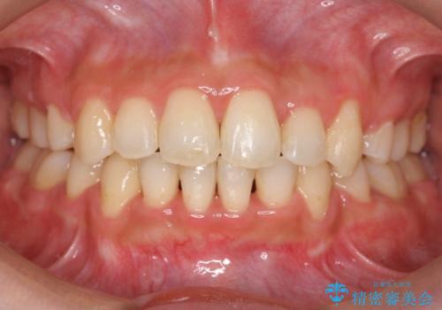
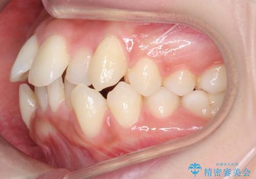
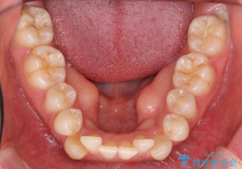
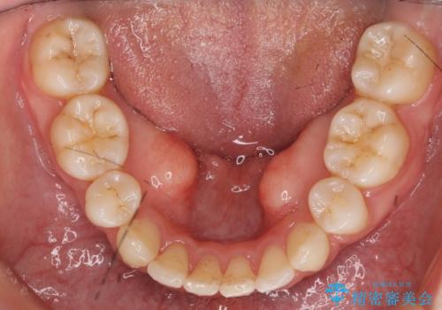
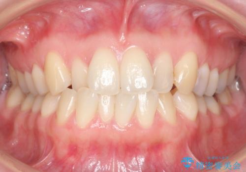
前歯の角度も良くなり、口もしっかり閉じられるようになりました。
ワイヤー矯正の注意事項(リスク・副作用など)
- 治療中は違和感や痛みが起こることがあります
- 症状により、抜歯が必要な場合があります
- 治療中は歯磨きがしにくくなるため、虫歯や歯周病になりやすくなります
- 矯正治療後の保定が不十分だと後戻り(元の位置に戻ろうとする動き)をします
- 自費診療(保険適用外)となります
当サイトの内容、テキスト、画像等の無断転載、複製、複写、盗用を固く禁じます。





















