症例詳細
Case detail
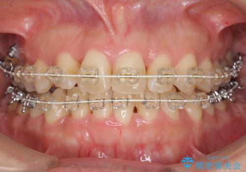
30代女性 残った乳歯を抜いてスペースを閉じる矯正 前歯のねじれ
治療症例の内容
- 診療科目
- 治療カテゴリ
- 担当医
- 井上季実子(ドクタープロフィール)
- 患者様
- 30代女性
- 矯正装置
- 審美装置
- 治療期間
- 1年4ヶ月
- 治療回数
- 10-30回
- 治療計画
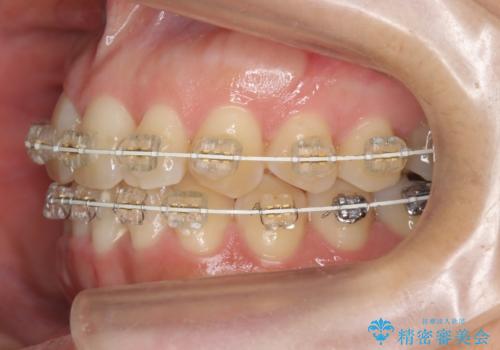
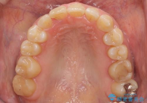
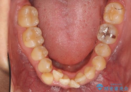
- 右上の前歯に乳歯が残っているため、相談で来院。
できれば乳歯を抜歯して、ブリッジなどをせず矯正治療で閉じたいとのことでした。
抜歯の本数は最小限でとのことでしたので、右上の乳歯1本と、数を合わせるために右下1本を抜歯して矯正しました。
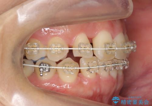
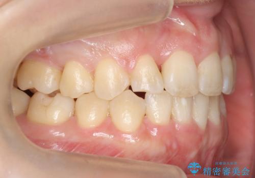
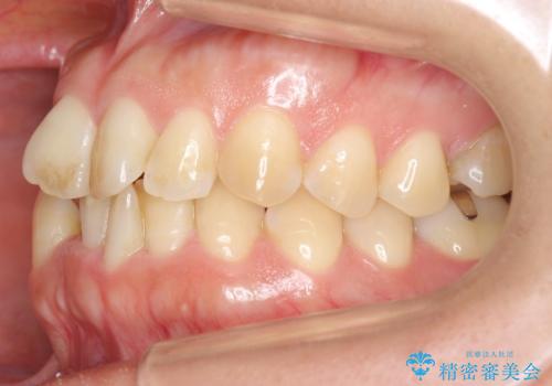
右上奥歯のすれ違い咬合も治しています。
- 費用(概算)
- 95万円(通院費、リテーナー込み)費用は治療当時の料金となります
治療について
右のみの抜歯となったため、上の正中はやや右に偏位しています。乳歯が抜けたりグラついてから慌てて考えるのではなく、あらかじめどうするかを時間をかけて検査や検討を行っておくことは大事です。
たとえば、乳歯が抜けた隙間を慌ててブリッジにすると、歯がうごかせなくなるため、ブリッジを壊さないと矯正治療が出来なくなってしまいます。インプラントを入れた場合は矯正治療は不可能です。
乳歯は大人の歯と違って根も短く、一生持つことは難しいです。
すぐに矯正するなど決めなくても、乳歯が残っている方は、将来その歯がもたなくなった時に、いずれ向き合うことになります。
今の所問題がなくても、矯正検査を行い、乳歯やかみ合わせ含めて現在の状態を知っておく必要があります。余裕のある時にしっかり考えておくことで、後々後悔することも少ないのではないでしょうか。
ワイヤー矯正の注意事項(リスク・副作用など)
- 治療中は違和感や痛みが起こることがあります
- 症状により、抜歯が必要な場合があります
- 治療中は歯磨きがしにくくなるため、虫歯や歯周病になりやすくなります
- 矯正治療後の保定が不十分だと後戻り(元の位置に戻ろうとする動き)をします
- 自費診療(保険適用外)となります
当サイトの内容、テキスト、画像等の無断転載、複製、複写、盗用を固く禁じます。
















