症例詳細
Case detail
インプラント(ストローマン) 抜歯後の欠損補綴
治療症例の内容
- 患者様
- 50代女性
- 治療期間
- 1年3ヶ月
- 治療回数
- 5-10回
- 治療計画
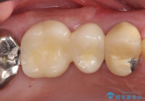
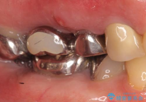
- 右上のブリッジでものを咬むと違和感があり、歯茎に膿の出口もできているので診て欲しいといらっしゃった方の症例です。
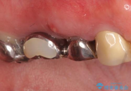
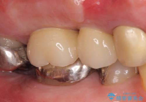
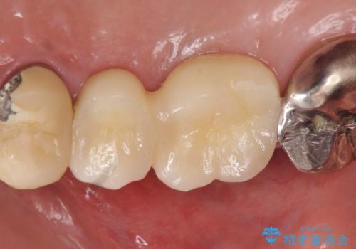
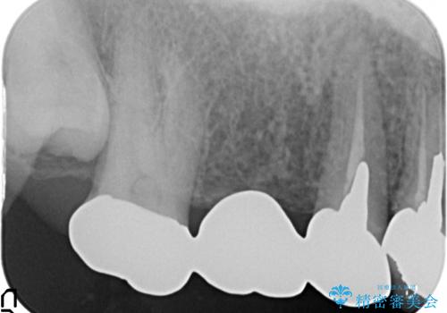
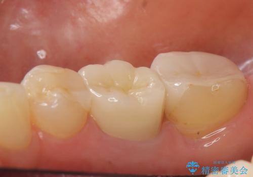
右上の567ブリッジを外したところ、右上5は歯根破折により保存不可能だったため、右上56部にインプラントを埋入し欠損補綴を行いました。
また右上5部に関しては抜歯時に歯槽堤保存術(抜歯窩に人工骨の填入を行う手術)を行い、骨の欠損を最小限に止めています。
- 費用(概算)
- オールセラミッククラウン…¥100,000×2、仮歯…¥10,000×2、歯槽堤保存術…¥100,000、インプラント(ストローマン)…¥200,000×2、カスタムアバット…¥100,000×2費用は治療当時の料金となります
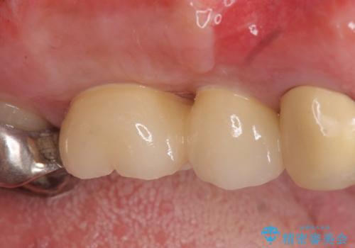
オールセラミッククラウンについて
今回用いたオールセラミッククラウンはジルコニアフレームという白い素材の上にセラミックを盛っているため、審美性が非常に高いのが特徴です。
また、ジルコニアは人工ダイヤモンドの材料にも使われているほど高い強度を持っており、そのためオールセラミッククラウンは審美性だけでなく、奥歯やブリッジの補綴も可能とするクラウンです。
ストローマン(インプラント)について
当院では主にストローマンという種類のインプラントを治療に用いています。
ストローマンは世界的にもNo1のシェアを誇り、骨との適合にも優れたインプラントです。
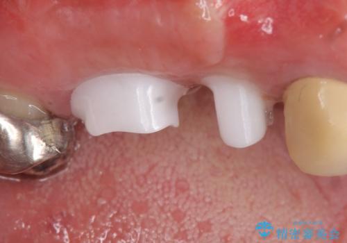
カスタムアバットメントについて
カスタムアバットメントは患者様それぞれの歯茎に合わせて製作されたオーダーメイドのアバットメントです。
既製のアバットメントに比べ適合がよく、高い清掃性を誇ります。
インプラント治療の注意事項(リスク・副作用など)
- 外科手術のため、術後に痛みや腫れ、違和感を伴います
- メンテナンスを怠ったり喫煙により、お口の中に大きな悪影響を及ぼすインプラント周囲炎等にかかる可能性があります
- 糖尿病、肝硬変、心臓病等の場合、インプラント治療ができない可能性があります
- 高血圧、貧血・不整脈等の場合、インプラント治療後に治癒不全を招く可能性があります
- 自費診療(保険適用外治療)となります
セラミック治療の注意事項(リスク・副作用など)
- 天然歯を削ります
- 硬い素材は天然歯を傷つけてしまう場合があります
- かみ合わせや歯ぎしりが強すぎる方はセラミックが割れてしまう可能性があります
- 自費診療(保険適用外治療)となります
当サイトの内容、テキスト、画像等の無断転載、複製、複写、盗用を固く禁じます。































