症例詳細
Case detail
オールセラミッククラウン 治療途中の歯の補綴
治療症例の内容
- 診療科目
- 治療カテゴリ
- 担当医
- 患者様
- 40代女性
- 治療期間
- 1ヶ月
- 治療回数
- 2-5回
- 治療計画
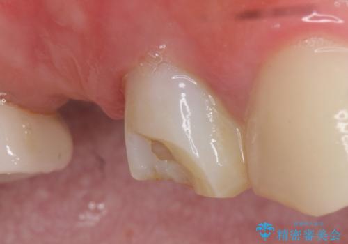
- アメリカの歯科医院にて治療途中の歯の仮歯が割れてしまったので診て欲しいといらっしゃった方の症例です。
しばらくアメリカに戻れそうにないため、当院での治療を希望。土台の築造まで処置は終わっているとのことだったのでオールセラミッククラウンによる補綴のみを行いました。
※遠心の欠損部はアメリカにてインプラント予定とのこと。
- 費用(概算)
- オールセラミッククラウン…¥100,000費用は治療当時の料金となります
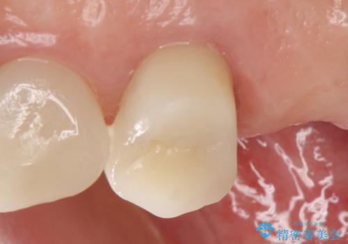
オールセラミッククラウンについて
今回用いたオールセラミッククラウンはジルコニアフレームという白い素材の上にセラミックを盛っているため、審美性が非常に高いのが特徴です。
また、ジルコニアは人工ダイヤモンドの材料にも使われているほど高い強度を持っており、そのためオールセラミッククラウンは審美性だけでなく、奥歯やブリッジの補綴も可能とするクラウンです。
セラミック治療の注意事項(リスク・副作用など)
- 天然歯を削ります
- 硬い素材は天然歯を傷つけてしまう場合があります
- かみ合わせや歯ぎしりが強すぎる方はセラミックが割れてしまう可能性があります
- 自費診療(保険適用外治療)となります
当サイトの内容、テキスト、画像等の無断転載、複製、複写、盗用を固く禁じます。











