症例詳細
Case detail
オールセラミッククラウン 前歯のブリッジ 気になる見た目の改善
治療症例の内容
- 診療科目
- 治療カテゴリ
- 担当医
- 患者様
- 50代女性
- 治療期間
- 6ヶ月
- 治療回数
- 2-5回
- 治療計画
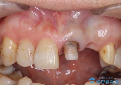
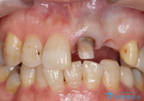
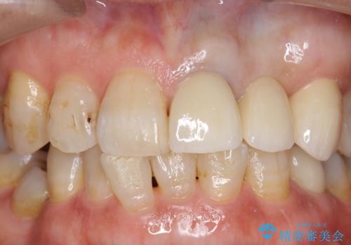
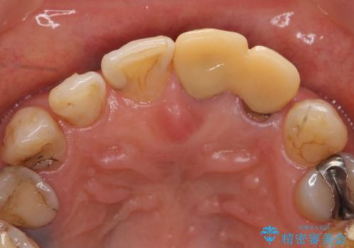
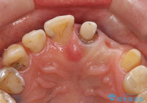
- 左側の前歯の見た目が気になるといらっしゃった方の症例です。
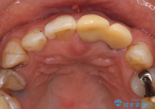
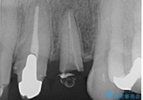
左上1、2番目の歯は仮歯の状態だったので外して状態を確認したところ、左上2は垂直的な歯根破折を認めたため抜歯となりました。左上1は再根管治療を行いました。
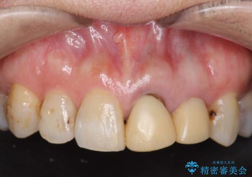
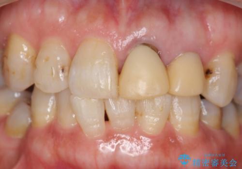
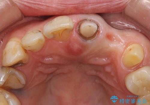
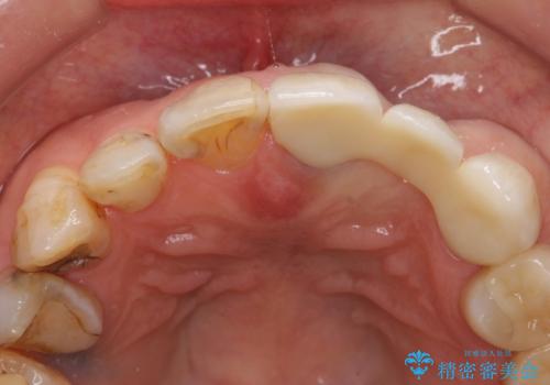
左上2抜歯後、骨および歯肉の回復を待ち、オールセラミッククラウンのブリッジによる欠損補綴を行いました。
- 費用(概算)
- オールセラミッククラウン(sp)…¥130,000×3、仮歯…¥10,000×3、ファイバーコア…¥20,000費用は治療当時の料金となります
オールセラミッククラウン(スペシャル)について
前歯の補綴ではオールセラミッククラウンを希望される患者様が多いですが、オールセラミッククラウンの中でも、エコノミー、スタンダード、スペシャル、エクセレントとランクがあります。
その中でも特に審美性が高いのがスペシャル、エクセレントです。スペシャル、エクセレントは口腔内写真をもとに熟練の技工士が、患者様の口腔内に合わせたオーダーメイドのクラウンを製作致します。
根管治療の注意事項(リスク・副作用など)
- 根管治療により類似の全ての症例の問題が解決するわけではなく、症例はあくまでも一例です
- 根管治療により痛みや腫れがひかない事や、術後に痛みや腫れが生じる事、治療によるファイル破折やパーフォレーションなどの偶発症、術後の歯根破折を生じる可能性もあります
- 自費診療(保険適用外)となります
セラミック治療の注意事項(リスク・副作用など)
- 天然歯を削ります
- 硬い素材は天然歯を傷つけてしまう場合があります
- かみ合わせや歯ぎしりが強すぎる方はセラミックが割れてしまう可能性があります
- 自費診療(保険適用外治療)となります
当サイトの内容、テキスト、画像等の無断転載、複製、複写、盗用を固く禁じます。
















