症例詳細
Case detail
虫歯による多数歯欠損 インプラント咬合機能回復
治療症例の内容
- 診療科目
- 担当医
- 大元洋佑(ドクタープロフィール)
- 患者様
- 30代女性
- 治療期間
- 10ヶ月
- 治療回数
- 5-10回
- 治療計画
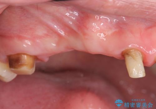
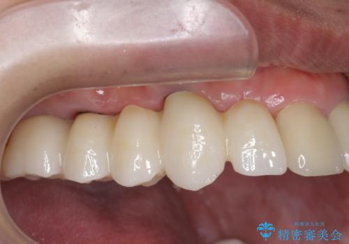
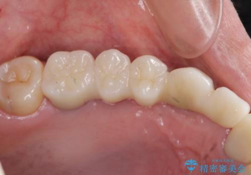
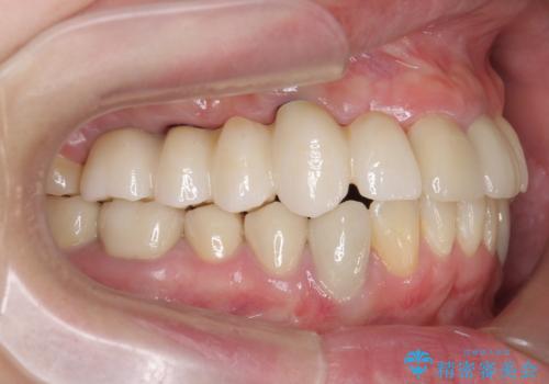
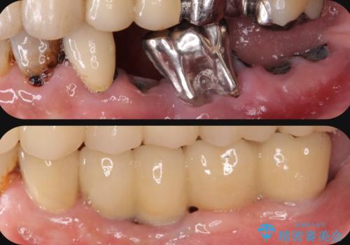
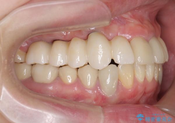
- 虫歯が多発し、多数失ってしまった歯の審美性回復・機能回復を計画します。
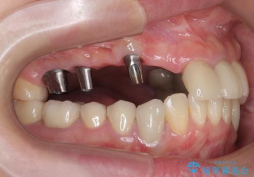
多数の歯が失われておりブリッジは行えないような状況で、インプラント治療か入れ歯治療かを提案しインプラント治療を希望・選択されました。
- 費用(概算)
- 120万円(ストローマンインプラント×3・骨造成・チタンカスタムアバットメント×3・フルジルコニアクラウン×5)費用は治療当時の料金となります
多数歯の欠損治療について
連続した多数の歯の機能・審美回復にブリッジは設計上治療の手段になり得ない場合があります。
残された選択肢は入れ歯・インプラントになりますが審美性・咬合機能の回復度・快適さ・残存歯への負担は雲泥の差となります。
インプラント治療の注意事項(リスク・副作用など)
- 外科手術のため、術後に痛みや腫れ、違和感を伴います
- メンテナンスを怠ったり喫煙により、お口の中に大きな悪影響を及ぼすインプラント周囲炎等にかかる可能性があります
- 糖尿病、肝硬変、心臓病等の場合、インプラント治療ができない可能性があります
- 高血圧、貧血・不整脈等の場合、インプラント治療後に治癒不全を招く可能性があります
- 自費診療(保険適用外治療)となります
当サイトの内容、テキスト、画像等の無断転載、複製、複写、盗用を固く禁じます。










