症例詳細
Case detail
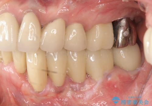
[奥歯のセラミック治療] 銀歯のブリッジを白く
治療症例の内容
- 診療科目
- 治療カテゴリ
- 担当医
- 大元洋佑(ドクタープロフィール)
- 患者様
- 50代女性
- 治療期間
- 2ヶ月
- 治療計画
- 数十年前に治療した銀歯が劣化し、見た目の改善を希望され来院されました。
銀歯を除去後、再発した虫歯を丁寧に取り除き、ジルコニアクラウンによる機能回復を計画します。
- 費用(概算)
- 48万円(仮歯×4・ファイバーコア×2・ジルコニアクラウン×4)費用は治療当時の料金となります
奥歯のセラミック治療について
奥歯は色にこだわらないという方もいらっしゃいますが、銀歯を白くすると口腔内が明るくなり、より健康的な印象になります。
セラミック治療の注意事項(リスク・副作用など)
- 天然歯を削ります
- 硬い素材は天然歯を傷つけてしまう場合があります
- かみ合わせや歯ぎしりが強すぎる方はセラミックが割れてしまう可能性があります
- 自費診療(保険適用外治療)となります
当サイトの内容、テキスト、画像等の無断転載、複製、複写、盗用を固く禁じます。

![[奥歯のセラミック治療] 銀歯のブリッジを白くの治療前](https://seimitsushinbi.jp/wp/wp-content/uploads/2020/04/3865b1a52ffbf888606a3f89db7d5a54-500x350.jpg?v=1587878146)
![[奥歯のセラミック治療] 銀歯のブリッジを白くの治療中](https://seimitsushinbi.jp/wp/wp-content/uploads/2020/04/4ede0944cd45fdf71d706decea3426eb-500x350.jpg?v=1587878164)
![[奥歯のセラミック治療] 銀歯のブリッジを白くの治療後](https://seimitsushinbi.jp/wp/wp-content/uploads/2020/04/f5756d3022435e7abb8de0f7583fa91f-500x350.jpg?v=1587878130)
![[奥歯のセラミック治療] 銀歯のブリッジを白くの治療前](https://seimitsushinbi.jp/wp/wp-content/uploads/2020/04/CI10-3-500x350.jpg?v=1587878184)
![[奥歯のセラミック治療] 銀歯のブリッジを白くの治療中](https://seimitsushinbi.jp/wp/wp-content/uploads/2020/04/CI95-500x350.jpg?v=1587878185)
![[奥歯のセラミック治療] 銀歯のブリッジを白くの治療後](https://seimitsushinbi.jp/wp/wp-content/uploads/2020/04/CI108-500x350.jpg?v=1587878187)
![[奥歯のセラミック治療] 銀歯のブリッジを白くの治療前](https://seimitsushinbi.jp/wp/wp-content/uploads/2020/04/bf3e56f39ec3f7484a5e8c7c5bc32125-500x350.jpg?v=1587878151)
![[奥歯のセラミック治療] 銀歯のブリッジを白くの治療中](https://seimitsushinbi.jp/wp/wp-content/uploads/2020/04/ac68fde2fc88a55755f87199b6cddb2d-500x350.jpg?v=1587878160)
![[奥歯のセラミック治療] 銀歯のブリッジを白くの治療後](https://seimitsushinbi.jp/wp/wp-content/uploads/2020/04/3ff23082e1856a17bf13ad51301625d9-500x350.jpg?v=1587878134)
![[奥歯のセラミック治療] 銀歯のブリッジを白くの治療前](https://seimitsushinbi.jp/wp/wp-content/uploads/2020/04/0ff7c4aa83cdd8a5e0bc636e998872c1-500x350.jpg?v=1587878155)
![[奥歯のセラミック治療] 銀歯のブリッジを白くの治療後](https://seimitsushinbi.jp/wp/wp-content/uploads/2020/04/bfc70c957c7045983267974c301b2c4b-1-500x350.jpg?v=1587878405)