症例詳細
Case detail
マイクロスコープ下で行う精密虫歯治療
治療症例の内容
- 診療科目
- 治療カテゴリ
- 担当医
- 大元洋佑(ドクタープロフィール)
- 患者様
- 30代女性
- 治療期間
- 治療回数
- 2-5回
- 治療計画
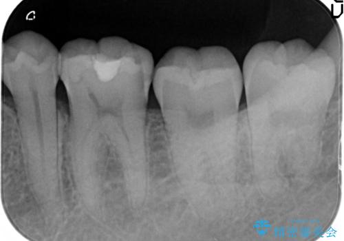
- 虫歯の検診を求めて来院されました。
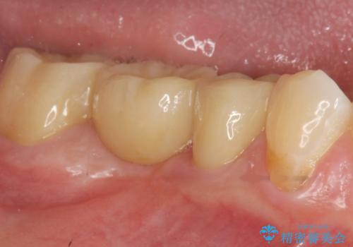
X線検査により外から見てもわからない虫歯が認められたので、マイクロスコープ下で丁寧かつ徹底的に虫歯を除去しセラミックインレーによる修復を計画します。
- 費用(概算)
- 7万円 セラミックインレー費用は治療当時の料金となります
マイクロスコープ治療について
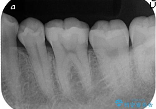
マイクロスコープを用いることで歯の微細な硬さや虫歯の広がりをすみずみまで精査することができます。
しっかりと虫歯を取り除き、精密なインレーを装着することで虫歯の再発を防ぎ長期的な予後を期待できる環境を整えます。
セラミック治療の注意事項(リスク・副作用など)
- 天然歯を削ります
- 硬い素材は天然歯を傷つけてしまう場合があります
- かみ合わせや歯ぎしりが強すぎる方はセラミックが割れてしまう可能性があります
- 自費診療(保険適用外治療)となります
当サイトの内容、テキスト、画像等の無断転載、複製、複写、盗用を固く禁じます。












