症例詳細
Case detail
海外勤務中でも矯正治療 インビザラインによる軽度叢生改善
治療症例の内容
- 診療科目
- 治療カテゴリ
- 担当医
- 藤巻太一朗(ドクタープロフィール)
- 患者様
- 30代女性
- 矯正装置
- インビザライン・ライト
- 治療期間
- 1年10ヶ月
- 治療回数
- 10-30回
- 治療計画
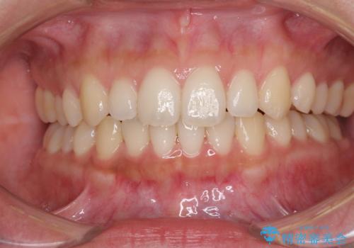
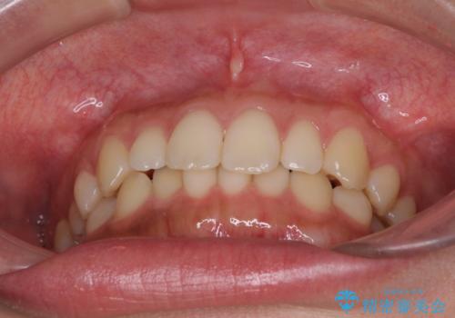
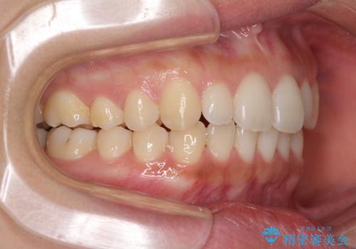
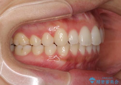
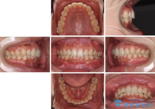
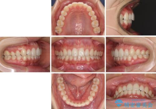
- 前歯のデコボコを気にして来院された患者様です。
治療期間中に海外勤務になる可能性が高いことが分かっていましたが、矯正治療を始めたいとのことでしたので、インビザラインを用いて治療することとしました。
- 費用(概算)
- 治療費の目安: 45万円費用は治療当時の料金となります
治療について
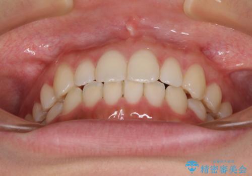
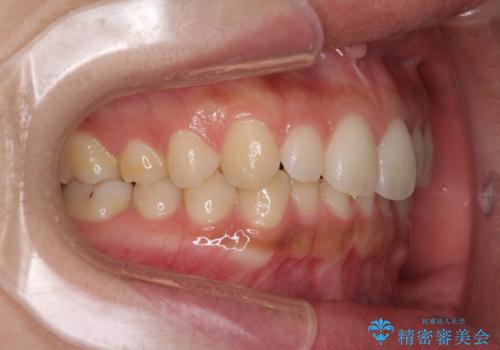
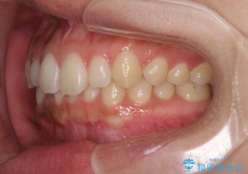
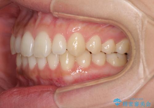
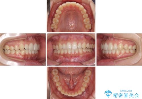
通常であれば半年から10ヶ月程度で終了する歯並びでしたが、海外に長期出張することになったため、1年10ヶ月の期間を要しました。
出張に行かれてしまうと追加のマウスピースを発注できないため、マウスピースの交換頻度を低くし、一時帰国のタイミングに合わせていくことで、スムーズに進めて行くことができました。
マウスピース矯正の注意事項(リスク・副作用など)
- 口腔内・歯並びの状態によっては対応できない場合があります
- マウスピース型矯正装置の長時間装着(1日20時間以上)が必須です
- 治療計画通りに進めるためには、患者様の意志が重要になります
- 矯正治療後の保定が不十分だと後戻り(元の位置に戻ろうとする動き)をします
- 薬機法対象外の矯正歯科装置のため医薬品副作用被害救済制度の対象外となる場合があります
- 自費診療(保険適用外)となります
当サイトの内容、テキスト、画像等の無断転載、複製、複写、盗用を固く禁じます。
























