症例詳細
Case detail
ものが挟まる 奥歯のセラミックブリッジ再製作
治療症例の内容
- 診療科目
- 治療カテゴリ
- 担当医
- 藤巻太一朗(ドクタープロフィール)
- 患者様
- 50代女性
- 治療期間
- 6ヶ月
- 治療回数
- 2-5回
- 治療計画
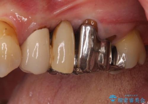
- 奥歯のブリッジにものが挟まるとのことで来院された患者様です。
奥歯の3本の歯根のうち1本は保存困難な状況であったため、1本を抜根し、傷の治癒を待った後にオールセラミックブリッジにて補綴することとしました。
- 費用(概算)
- 30万費用は治療当時の料金となります
治療について
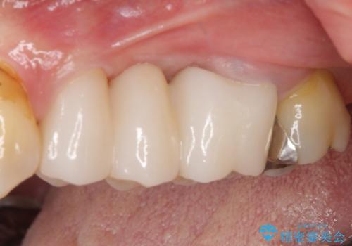
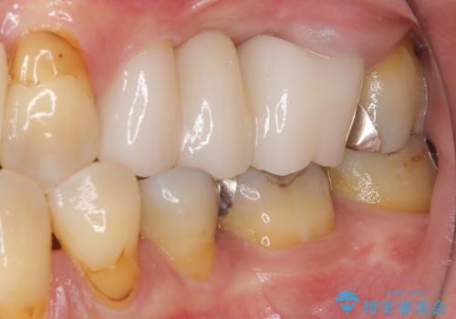
ものが挟まる原因は、保存困難なほど歯肉から露出していた歯根にあったため、抜根することで気になっていた問題は解消されました。
外観も審美的になり、患者様には大変満足していただきました。
セラミック治療の注意事項(リスク・副作用など)
- 天然歯を削ります
- 硬い素材は天然歯を傷つけてしまう場合があります
- かみ合わせや歯ぎしりが強すぎる方はセラミックが割れてしまう可能性があります
- 自費診療(保険適用外治療)となります
当サイトの内容、テキスト、画像等の無断転載、複製、複写、盗用を固く禁じます。








