症例詳細
Case detail
不自然な前歯のかぶせ物をオールセラミックへ
治療症例の内容
- 診療科目
- 治療カテゴリ
- 担当医
- 患者様
- 30代男性
- 治療期間
- 3ヶ月
- 治療回数
- 2-5回
- 治療計画
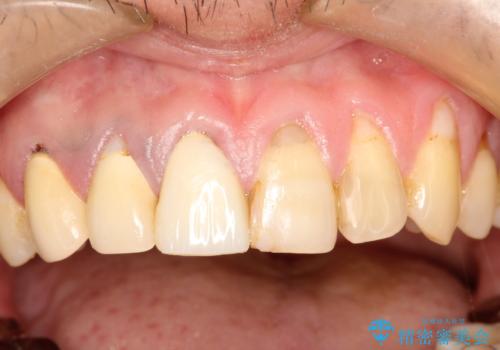
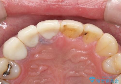
- 以前治療した上の前歯の不自然な保険のかぶせ物を自然なものにしたいとのことで来院されました。
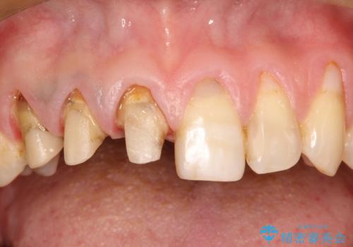
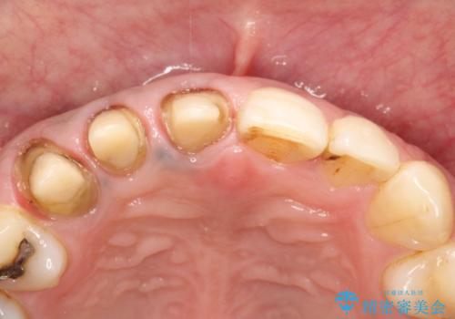
右上の前から1番目から3番目までの歯のかぶせ物を土台から再治療することとなりました。
- 費用(概算)
- 約40万円費用は治療当時の料金となります
治療について
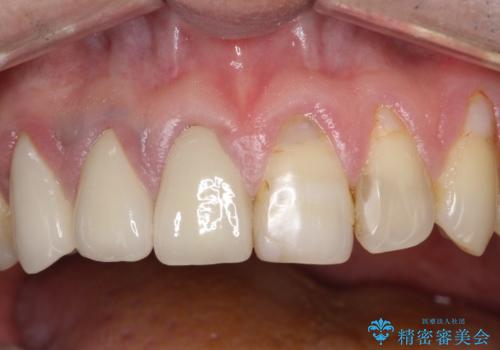
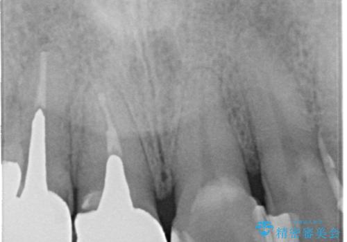
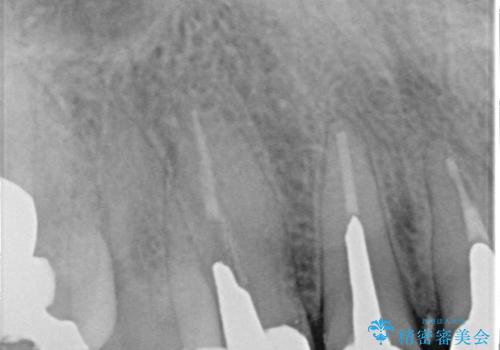
金属の土台を、ファイバーコアという歯根にやさしく白いものに交換して、かぶせ物をオールセラミックにしました。
セラミック治療の注意事項(リスク・副作用など)
- 天然歯を削ります
- 硬い素材は天然歯を傷つけてしまう場合があります
- かみ合わせや歯ぎしりが強すぎる方はセラミックが割れてしまう可能性があります
- 自費診療(保険適用外治療)となります
当サイトの内容、テキスト、画像等の無断転載、複製、複写、盗用を固く禁じます。














