症例詳細
Case detail
オールセラミッククラウン 歯茎より深い虫歯の治療 神経が死んでる歯の治療
治療症例の内容
- 診療科目
- 治療カテゴリ
- 担当医
- 患者様
- 50代女性
- 治療期間
- 9ヶ月
- 治療回数
- 5-10回
- 治療計画
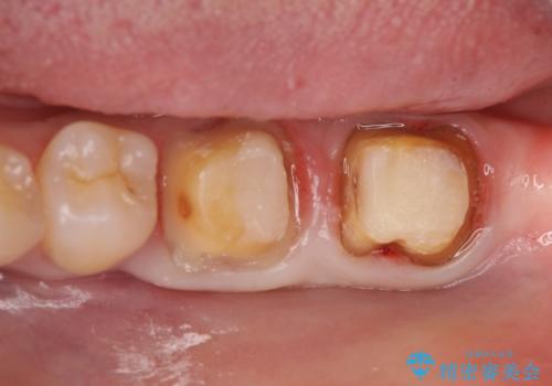
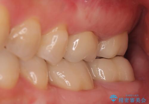
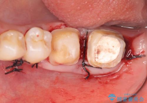
- 左下奥歯で咬むと違和感があるといらっしゃった方の症例です。
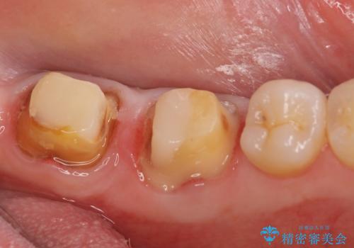
 検査の結果左下7は失活(歯の神経が死んでいること)しておりX線上で根尖病変を認めたため、根管治療を行いました。
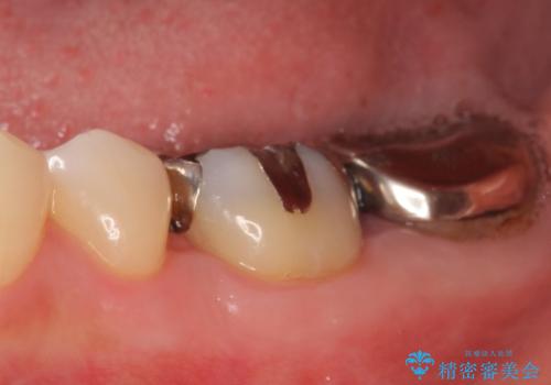
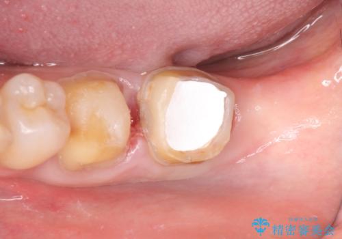
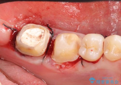
 また左下6は遠心にあった歯茎より深い虫歯(縁下カリエス)の問題を解決するため、歯茎を下げる歯周外科手術を行いました。
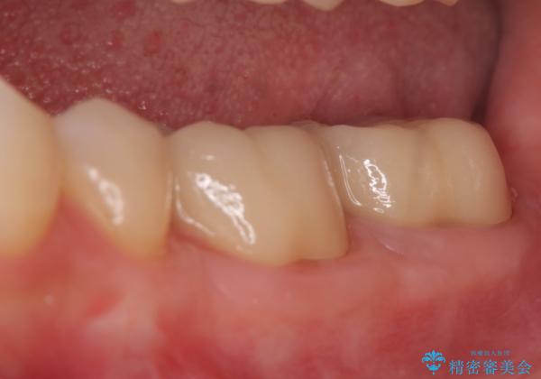
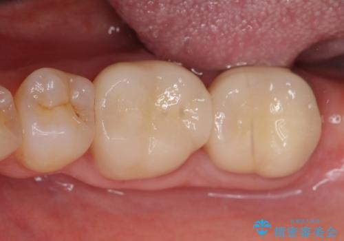
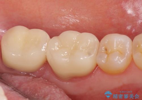
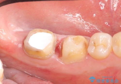
 歯周外科手術終了後、歯茎の回復を待ち左下6、7ともにオールセラミッククラウン(スタンダード)による補綴を行いました。
 
 
- 費用(概算)
- オールセラミッククラウン…¥100,000×2、仮歯…¥10,000×2、歯冠長延長術…¥100,000費用は治療当時の料金となります
オールセラミッククラウンについて
今回用いたオールセラミッククラウンはジルコニアフレームという白い素材の上にセラミックを盛っているため、審美性が非常に高いのが特徴です。
また、ジルコニアは人工ダイヤモンドの材料にも使われているほど高い強度を持っており、そのためオールセラミッククラウンは審美性だけでなく、奥歯やブリッジの補綴も可能とするクラウンです。
虫歯治療について
虫歯治療は虫歯の進行度によって処置が変わってきます。
虫歯が小さければ、インレー・クラウン等による修復・補綴処置を行うだけで済みます。
しかし虫歯が大きくなると神経処置や抜歯等をしなければならない場合もあります。
ですので虫歯治療においては早期発見・早期治療が肝要です。
歯茎より深い虫歯の治療について
虫歯が進み歯茎より深くなってしまうと、虫歯を取り残してしまうリスク、樹脂の硬化の妨げ、補綴物の不適合、歯肉炎・歯周病のリスクの増大等様々な弊害が起こり得ます。
そのため当院では歯周外科手術(歯茎を下げる手術)や歯の挺出による、虫歯が歯茎より深いという問題の解決を推奨しております。
歯周病治療の注意事項(リスク・副作用など)
- 外科手術のため、術後に痛みや腫れ、違和感を伴います
- 歯周組織再生治療は患者様の状態によって術後の経過が異なります(見た目が改善しない場合もあります)
- 歯周組織再生治療は自費診療(保険適用外)となります
セラミック治療の注意事項(リスク・副作用など)
- 天然歯を削ります
- 硬い素材は天然歯を傷つけてしまう場合があります
- かみ合わせや歯ぎしりが強すぎる方はセラミックが割れてしまう可能性があります
- 自費診療(保険適用外治療)となります
当サイトの内容、テキスト、画像等の無断転載、複製、複写、盗用を固く禁じます。








 
                       
                                                          




















 
                   
                   
                  