症例詳細
Case detail
大人の上唇小帯切除 前歯のすき間の原因になります
治療症例の内容
- 診療科目
- 治療カテゴリ
- 担当医
- 井上季実子(ドクタープロフィール)
- 患者様
- 40代女性
- 治療期間
- 1ヶ月
- 治療回数
- 1回
- 治療計画
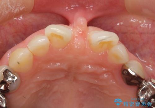
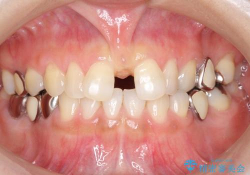
- 唇と歯ぐきを結ぶヒモが、他人より大きいことに気づいた。
邪魔なので処置してほしいとのことでした。
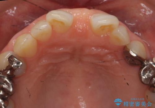
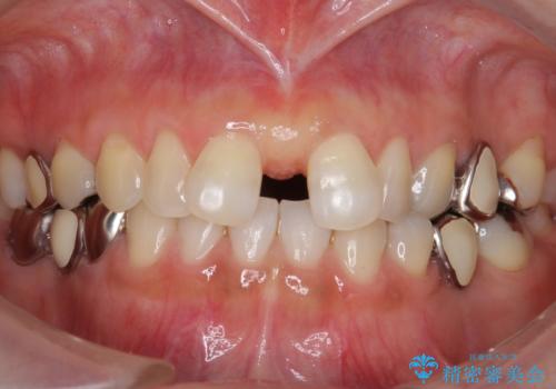
切除したところ、スッキリしたと喜んでおられました。
矯正治療をおすすめしましたが、特にすき間は気にならないとのことでした。
- 費用(概算)
- 3万円(税込)費用は治療当時の料金となります
治療について
子供の頃に切れば、自然と前歯の隙間が閉じることも多いです。
外科処置の注意事項(リスク・副作用など)
- 外科手術のため、術後に出血、痛みや腫れ、違和感を伴います
- 口腔内の状態によっては適応できないことがあります
当サイトの内容、テキスト、画像等の無断転載、複製、複写、盗用を固く禁じます。








