症例詳細
Case detail
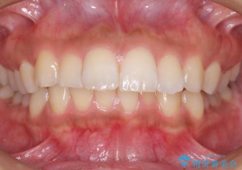
Eラインを整える治療 前歯を引っ込めます
治療症例の内容
- 担当医
- 井上季実子(ドクタープロフィール)
- 患者様
- 30代女性
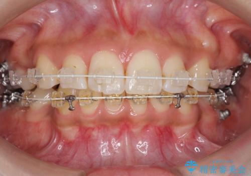
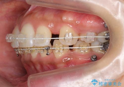
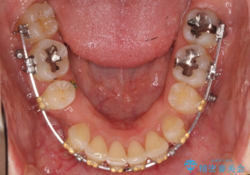
- 矯正装置
- 審美装置
- 治療期間
- 3年6ヶ月
- 治療回数
- 10-30回
- 治療計画
- 前歯を下げたいと来院。
初めは、上だけ抜歯しましたが、もう少し口元を下げたいとのことで追加で下顎を抜歯しました。
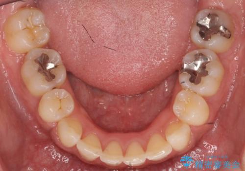
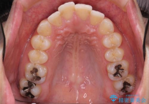
年齢の割に歯が動きにくかったこともあり、また、追加で抜歯して結果として時間がかかってしまいました。口元が大きく下がり、結果には満足していただけました。
- 費用(概算)
- 90万円(通院費込み)費用は治療当時の料金となります
治療について
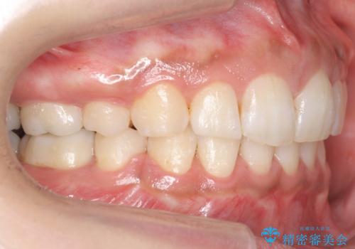
横顔が大きく変わり、満足していただけました。
ワイヤー矯正の注意事項(リスク・副作用など)
- 治療中は違和感や痛みが起こることがあります
- 症状により、抜歯が必要な場合があります
- 治療中は歯磨きがしにくくなるため、虫歯や歯周病になりやすくなります
- 矯正治療後の保定が不十分だと後戻り(元の位置に戻ろうとする動き)をします
- 自費診療(保険適用外)となります
当サイトの内容、テキスト、画像等の無断転載、複製、複写、盗用を固く禁じます。






















