症例詳細
Case detail
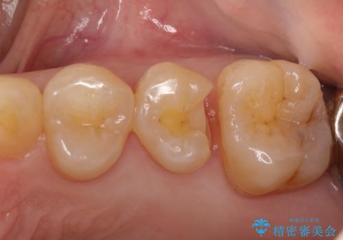
虫歯の治療。ゴールドインレーによる治療
治療症例の内容
- 診療科目
- 治療カテゴリ
- 担当医
- 河口智英(ドクタープロフィール)
- 患者様
- 40代女性
- 治療期間
- 1ヶ月
- 治療回数
- 2-5回
- 治療計画
- 定期検診にて、虫歯を発見した患者様です。
長期に安定した治療を希望されたためPGAインレーにて修復治療を行っております。
- 費用(概算)
- 6万円費用は治療当時の料金となります
治療について
ゴールドインレーは適合が良く、割れることもないため、長期的に安定した治療法となります。
PGA(ゴールド)クラウン、インレーの注意事項(リスク・副作用など)
- インレーおよびクラウンは脱離するリスクがあります
- 形成量はセラミックより少ないですが、歯の形成、修復後に歯に症状が出ることがあります
- 自費診療(保険適用外治療)となります
当サイトの内容、テキスト、画像等の無断転載、複製、複写、盗用を固く禁じます。





