症例詳細
Case detail
他院で次に虫歯になったら治せないと言われた 歯周外科手術でしっかり治療(APF)
治療症例の内容
- 担当医
- 井上季実子(ドクタープロフィール)
- 患者様
- 30代女性
- 治療期間
- 8ヶ月
- 治療回数
- 5-10回
- 治療計画
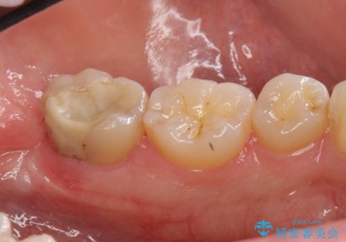
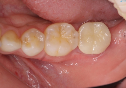
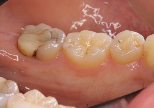
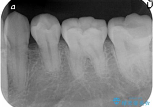
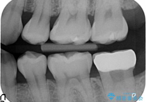
- 左下の7番の虫歯がしみるとのことで来院。
昔他院で虫歯治療した際、「次に虫歯になったらもうきちんとは治せない」と言われたとのことでした。
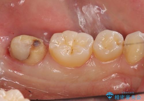
他院でつめていたものは、セメントで、一時的な詰め物がなされていました。(中は虫歯になっていました。)
虫歯を取ると、歯ぐきの奥深くまで虫歯になっており、そのままではきちんと修復することが難しい状態でした。
①虫歯を無視してとりあえずつめる(必ず虫歯になり、進行するため神経を取らなければいけなくなる)
:マージン(キワ)はぴったりは合わないため、長期的な予後は見込めない。=歯は長く持たない。
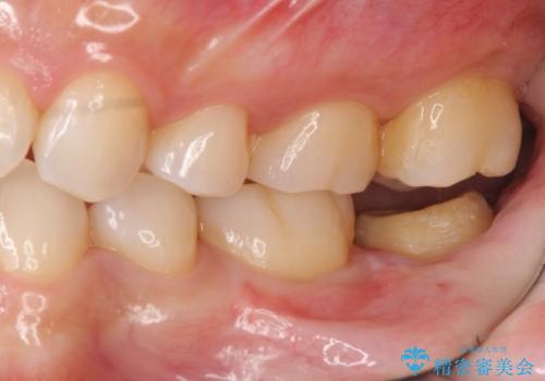
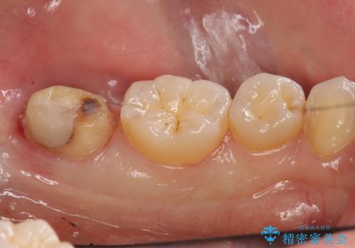
②歯周外科手術を行う。しっかり歯ぐきを下げ、マージンが歯肉縁下深くならないようにする
:虫歯も取り切って、きわがあったものが入るため①のようなことは起こりにくい。しかし外科処置が必要。
を提案し、
②を選択されました。
外科処置は、点滴をしてうとうとしながら寝て起きたら手術が終わっている、静脈内鎮静をオプションで選択していただきました。術後は全く覚えてなかったとお話しされていました。
治療の流れ
1:つめてあったセメントを除去、虫歯除去、セメントを再度つめる。処置後神経に問題がなければ手術の予約を取る。
2:歯周外科手術を行う
3:2週間後に抜糸
4:歯ぐきが少し落ち着いたところで仮歯にする
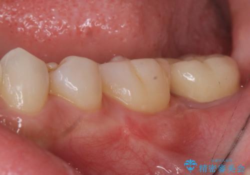
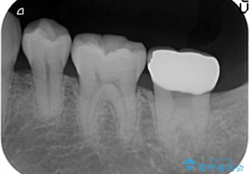
5:手術から5ヶ月待って、最終形成を行う
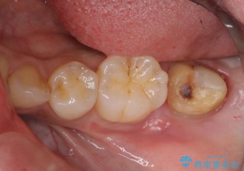
6:歯型をとり、クラウンを作成、仮着する
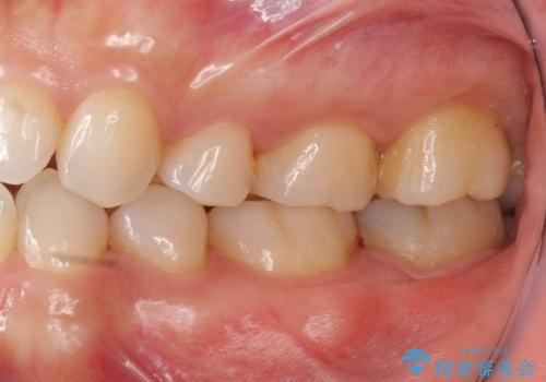
7:色、形、咬みごこち等問題なければクラウンを本セットする
- 費用(概算)
- 26万円(左下7:ジルコニアクラウン 10万円、仮歯 1万円、歯周外科手術(APF) 10万円、静脈内鎮静法 5万円)費用は治療当時の料金となります
治療について
他院で難しいと言われた虫歯治療をきっちりすることができて、とても喜んでいただきました。
深刻な状態であればあるほど、長く持つ治療は手間がかかります。(お金もです)
あまりに放置すると、お金をかけてもできる方法がなくなり、持たせられなくなりますので、不安な処置がある場合は、早めにお越しください。
セラミック治療の注意事項(リスク・副作用など)
- 天然歯を削ります
- 硬い素材は天然歯を傷つけてしまう場合があります
- かみ合わせや歯ぎしりが強すぎる方はセラミックが割れてしまう可能性があります
- 自費診療(保険適用外治療)となります
歯周病治療の注意事項(リスク・副作用など)
- 外科手術のため、術後に痛みや腫れ、違和感を伴います
- 歯周組織再生治療は患者様の状態によって術後の経過が異なります(見た目が改善しない場合もあります)
- 歯周組織再生治療は自費診療(保険適用外)となります
当サイトの内容、テキスト、画像等の無断転載、複製、複写、盗用を固く禁じます。





















