症例詳細
Case detail
受け口 マウスピースで矯正治療 難易度:中
治療症例の内容
- 患者様
- 20代男性
- 矯正装置
- インビザライン フル
- 治療期間
- 1年6ヶ月
- 治療回数
- 10-30回
- 治療計画
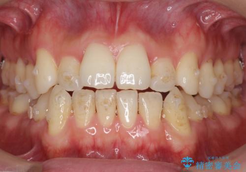
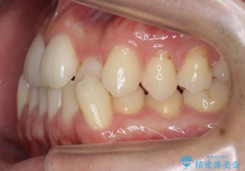
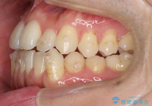
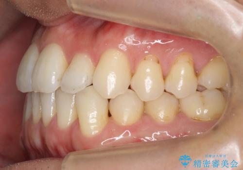
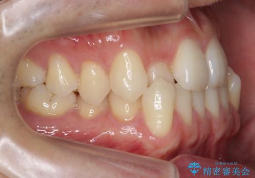
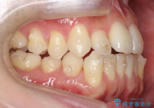
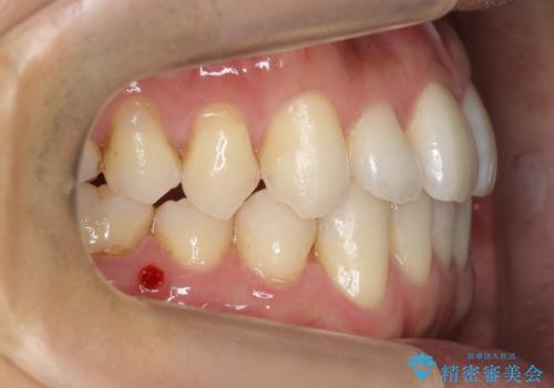
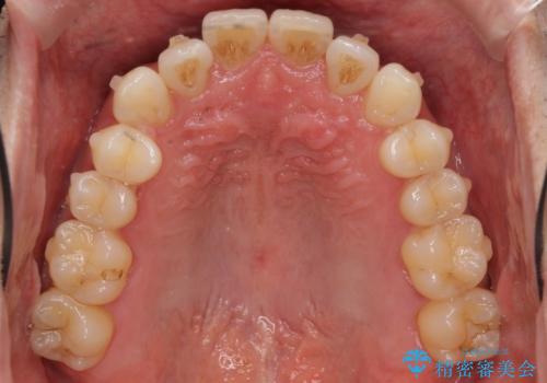
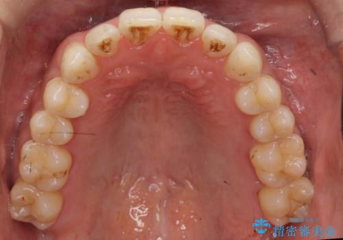
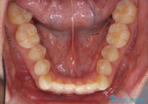
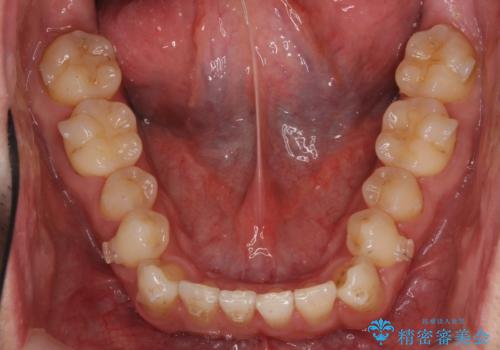
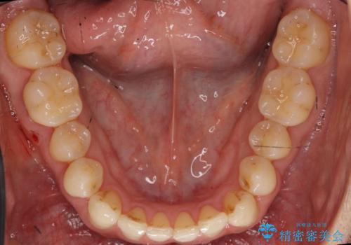
- 受け口を主訴に来院。
前歯の反対咬合でしたが、かみ合わせが、下顎が大きく前方にずれていました。
引っ込んでいる前歯の前方に下の犬歯が深く咬み込んでおり、また、奥歯のかみ合わせも受け口方向にずれ、骨格性の反対咬合も少々ありました。
上の前歯を前方に出すだけでは治療ができないため、ミニスクリューを用いて下の奥歯を後ろに送っています。
また、下の前歯を0.3mmずつIPRしています。
- 費用(概算)
- 90万円(通院費、クリアリテーナー込み)費用は治療当時の料金となります
治療について
前歯の反対咬合にしては、難易度は中等度だと思います。
ちょっと前歯を外に出すだけでは治療は難しいです。
下の奥歯を後ろに送るにも、親知らずを抜いたスペース等がなければ難しいです。
マウスピース矯正の注意事項(リスク・副作用など)
- 口腔内・歯並びの状態によっては対応できない場合があります
- マウスピース型矯正装置の長時間装着(1日20時間以上)が必須です
- 治療計画通りに進めるためには、患者様の意志が重要になります
- 矯正治療後の保定が不十分だと後戻り(元の位置に戻ろうとする動き)をします
- 薬機法対象外の矯正歯科装置のため医薬品副作用被害救済制度の対象外となる場合があります
- 自費診療(保険適用外)となります
当サイトの内容、テキスト、画像等の無断転載、複製、複写、盗用を固く禁じます。





















