症例詳細
Case detail
犬歯の変色 マウスピースで手軽にエクストリュージョン 歯ぐきの炎症をおさめます
治療症例の内容
- 患者様
- 30代女性
- 治療期間
- 3ヶ月
- 治療回数
- 2-5回
- 治療計画
- 左上犬歯の一部が歯ぐきの中まで虫歯になっており、部分矯正をして歯を引っ張り出しました。(エクストリュージョン)
目立たないマウスピースで2ヶ月くらいで十分引っ張り出すことができました。
その後、手術をしてしっかり骨の位置を修正し、歯を引っ張り出した時に増殖した余分な歯ぐきを薄くする歯周外科治療も行なっています。
いくら歯磨きを頑張ってもどうしても腫れてしまう歯肉に対して、歯と周囲組織の位置関係を変えることで根本的に解決することができます。
術後は計画通り歯ぐきの腫れが収まり、炎症に強い歯ぐきになりました。
- 費用(概算)
- 21万円(左上3:ジルコニアクラウン(スペシャル)13万円、仮歯 1万円、エクストリュージョン:10万円、歯周外科治療:エクストリュージョンに含む)費用は治療当時の料金となります
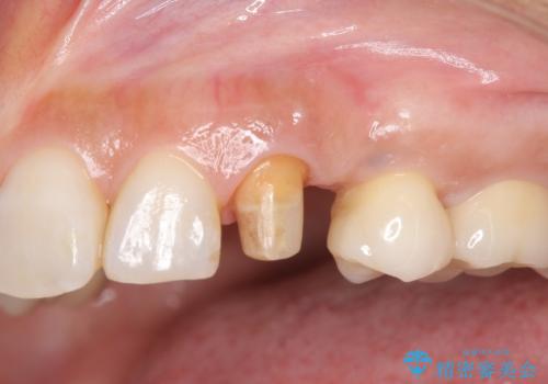
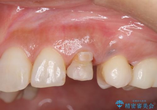
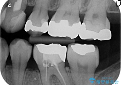
-
開始前
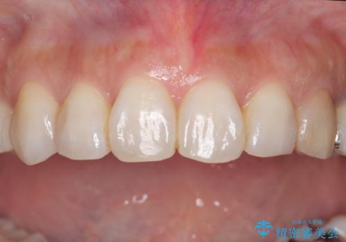
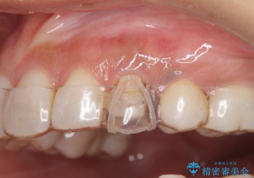
-
治療途中
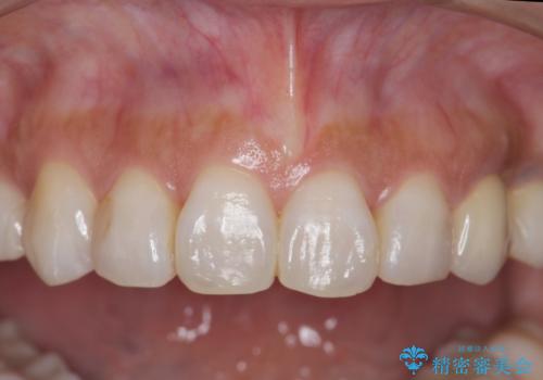
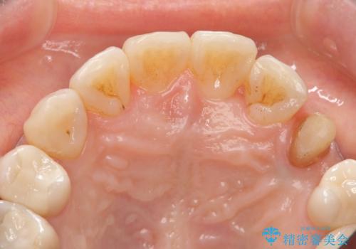
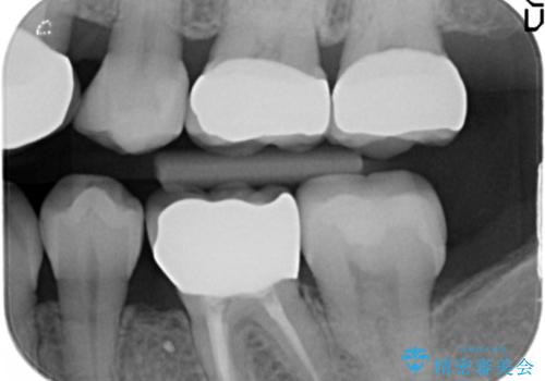
-
終了時
左:虫歯を除去したところ。遠心が歯ぐきより深い状態です。中:そのままかぶせようとすると、遠心が歯ぐきが腫れやすい状態です。右:エクストリュージョンをしたことで、遠心の歯ぐきの腫れが収まっていることがわかります。
治療について
エクストリュージョンをしたことで、いくら歯磨きを頑張ってもどうしても腫れてしまう歯肉に対して、歯周囲組織の位置関係を変えることで根本的に解決しました。
今回は、単独1歯のエクストリュージョンを、マウスピースを使って、ご自身でゴムをかけていただき行ったのがポイントです。
歯の変色もあるため、最終的にはクラウンとしました。
セラミック治療の注意事項(リスク・副作用など)
- 天然歯を削ります
- 硬い素材は天然歯を傷つけてしまう場合があります
- かみ合わせや歯ぎしりが強すぎる方はセラミックが割れてしまう可能性があります
- 自費診療(保険適用外治療)となります
歯周病治療の注意事項(リスク・副作用など)
- 外科手術のため、術後に痛みや腫れ、違和感を伴います
- 歯周組織再生治療は患者様の状態によって術後の経過が異なります(見た目が改善しない場合もあります)
- 歯周組織再生治療は自費診療(保険適用外)となります
当サイトの内容、テキスト、画像等の無断転載、複製、複写、盗用を固く禁じます。
























