症例詳細
Case detail
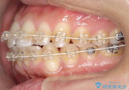
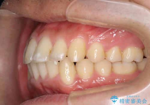
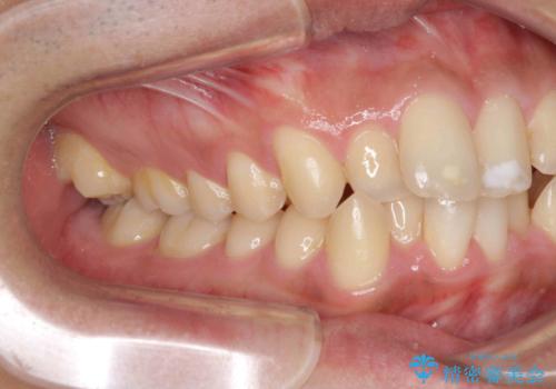
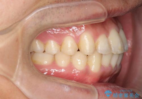
歯を抜かない矯正 奥歯のすれ違い咬合 下の八重歯
治療症例の内容
- 診療科目
- 治療カテゴリ
- 担当医
- 井上季実子(ドクタープロフィール)
- 患者様
- 20代男性
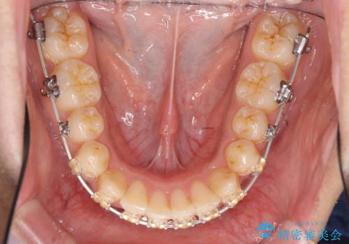
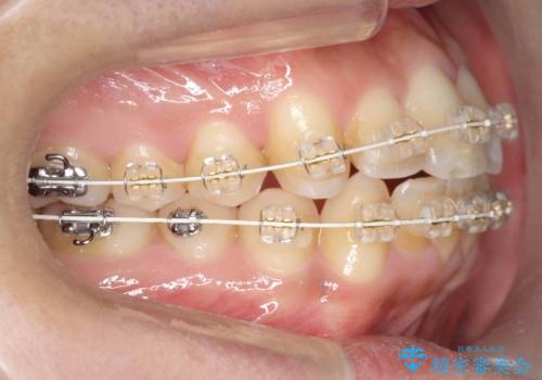
- 矯正装置
- 審美装置
- 治療期間
- 1年6ヶ月
- 治療回数
- 10-30回
- 治療計画
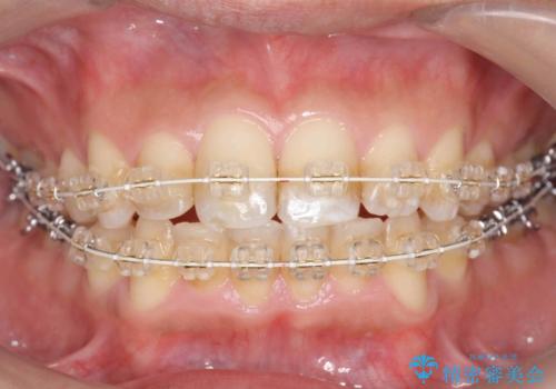
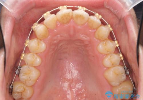
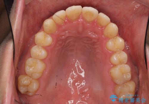
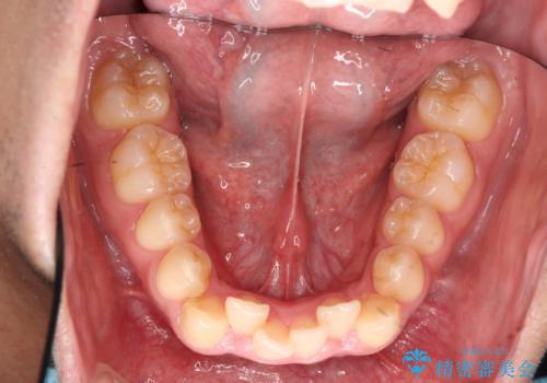
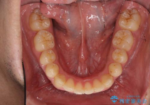
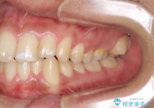
- 前歯のガタガタを主訴に来院。
奥歯はすれ違ってしまっていました。
口元も出ておらず、非抜歯を希望されたため、IPR(歯を削る処置)でスペースを確保しました。
- 費用(概算)
- 85万円費用は治療当時の料金となります
治療について
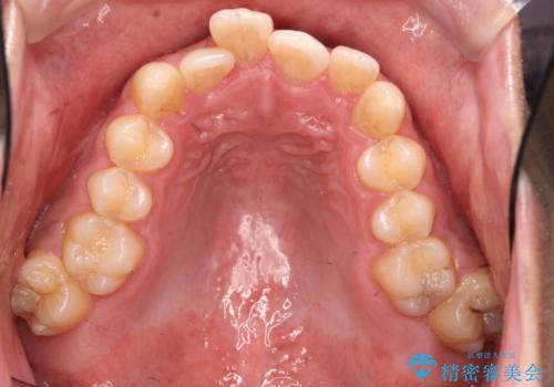
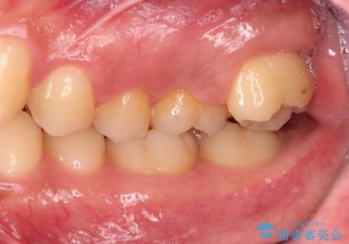
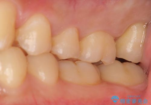
上顎両側7番(一番奥の歯)はすれ違っており、虫歯になっていました。
虫歯治療については
https://seimitsushinbi.jp/case/49133/
ワイヤー矯正の注意事項(リスク・副作用など)
- 治療中は違和感や痛みが起こることがあります
- 症状により、抜歯が必要な場合があります
- 治療中は歯磨きがしにくくなるため、虫歯や歯周病になりやすくなります
- 矯正治療後の保定が不十分だと後戻り(元の位置に戻ろうとする動き)をします
- 自費診療(保険適用外)となります
当サイトの内容、テキスト、画像等の無断転載、複製、複写、盗用を固く禁じます。





















