症例詳細
Case detail
奥歯のむし歯治療 セラミックとゴールドインレー
治療症例の内容
- 診療科目
- 治療カテゴリ
- 担当医
- 藤巻太一朗(ドクタープロフィール)
- 患者様
- 20代女性
- 治療期間
- 2ヶ月
- 治療回数
- 2-5回
- 治療計画
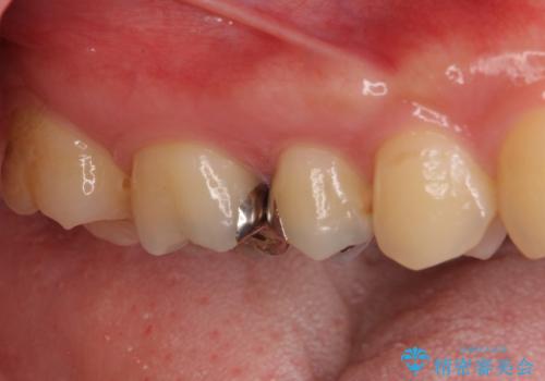
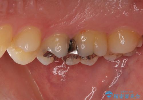
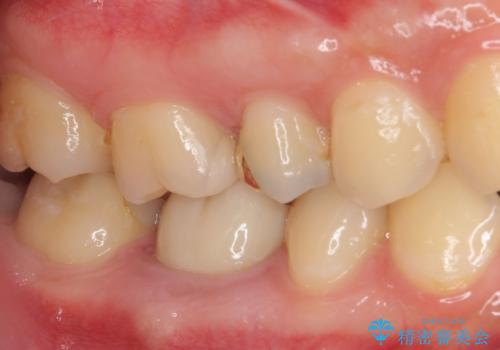
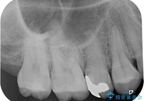
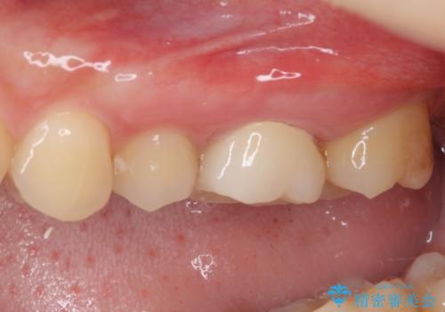
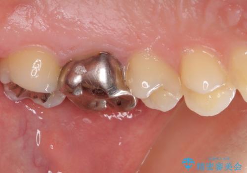
- 奥歯の銀歯の下にあるむし歯治療を希望して来院された患者様です。
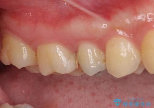
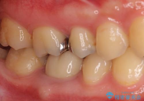
口を開けたときに見えてしまう部分はセラミックインレーやジルコニアクラウンに、目立たない部分はゴールドインレーにてむし歯治療を行うこととしました。
- 費用(概算)
- 治療費の目安: 28万円費用は治療当時の料金となります
治療について
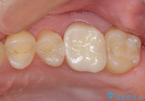
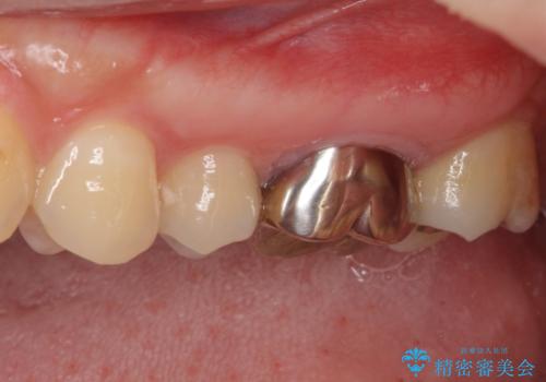
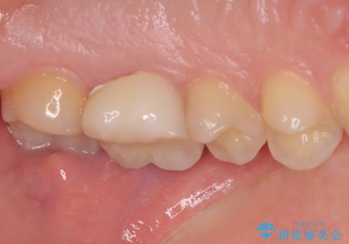
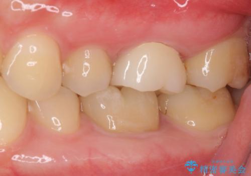
機能面を優先すると、PGAインレー(ゴールドインレー)による修復治療やPGAクラウンによる補綴治療が望ましいのですが、笑ったときに見えている銀歯がどうしても気なってしまうとのことで、目立ってしまう奥歯はセラミックインレーやセラミッククラウンを装着することとしました。
見た目を気にすることなくむし歯治療を行うことができ、患者様に大変満足していただきました。
セラミック治療の注意事項(リスク・副作用など)
- 天然歯を削ります
- 硬い素材は天然歯を傷つけてしまう場合があります
- かみ合わせや歯ぎしりが強すぎる方はセラミックが割れてしまう可能性があります
- 自費診療(保険適用外治療)となります
PGA(ゴールド)クラウン、インレーの注意事項(リスク・副作用など)
- インレーおよびクラウンは脱離するリスクがあります
- 形成量はセラミックより少ないですが、歯の形成、修復後に歯に症状が出ることがあります
- 自費診療(保険適用外治療)となります
当サイトの内容、テキスト、画像等の無断転載、複製、複写、盗用を固く禁じます。




















