症例詳細
Case detail
オールセラミッククラウン 他院にて抜歯と言われた歯の治療
治療症例の内容
- 診療科目
- 治療カテゴリ
- 担当医
- 患者様
- 20代男性
- 治療期間
- 3ヶ月
- 治療回数
- 2-5回
- 治療計画
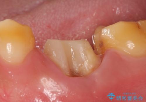
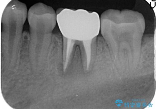
- 咬むと痛む左下6の歯を他院にて診てもらったところ抜歯しかないと言われたが、どうしても残したいと当院にいらっしゃった方の症例です。
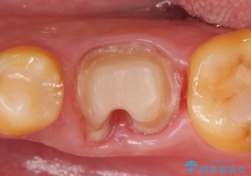
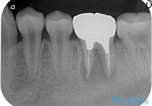
検査の結果、根尖病変が大きくポケットも 10mm 以上ありましたが、マイクロ(顕微鏡)にて精査したところ歯根破折は認められなかったため、再根管治療を行いました。
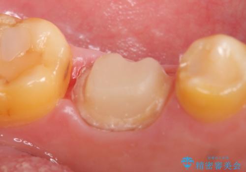
咬合痛等の症状の緩解、根尖病変の縮小傾向、および深かったポケットが正常値まで改善したことを確認後、オールセラミッククラウンによる補綴を行いました。
オールセラミッククラウンの色に関しては、患者様の希望により他歯より白い色で製作しました。
- 費用(概算)
- オールセラミッククラウン…¥100,000、仮歯…¥10,000、ファイバーコア…¥20,000費用は治療当時の料金となります
オールセラミッククラウンについて
今回用いたオールセラミッククラウンはジルコニアフレームという白い素材の上にセラミックを盛っているため、審美性が非常に高いのが特徴です。
また、ジルコニアは人工ダイヤモンドの材料にも使われているほど高い強度を持っており、そのためオールセラミッククラウンは審美性だけでなく、奥歯やブリッジの補綴も可能とするクラウンです。
セラミック治療の注意事項(リスク・副作用など)
- 天然歯を削ります
- 硬い素材は天然歯を傷つけてしまう場合があります
- かみ合わせや歯ぎしりが強すぎる方はセラミックが割れてしまう可能性があります
- 自費診療(保険適用外治療)となります
当サイトの内容、テキスト、画像等の無断転載、複製、複写、盗用を固く禁じます。











