症例詳細
Case detail
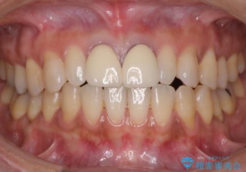
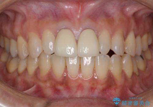
前歯をメタルフリーに 根管治療で不安を取り除いてから
治療症例の内容
- 診療科目
- 担当医
- 患者様
- 40代女性
- 治療期間
- 6ヶ月
- 治療回数
- 2-5回
- 治療計画
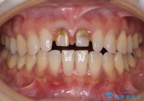
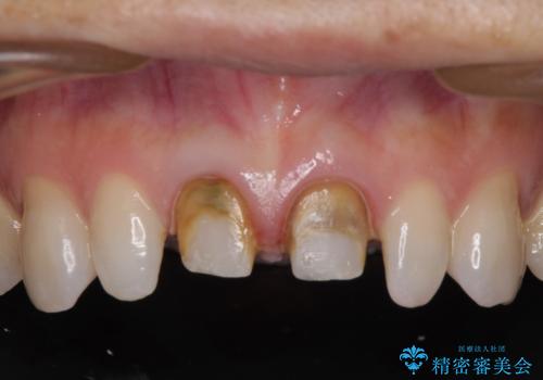
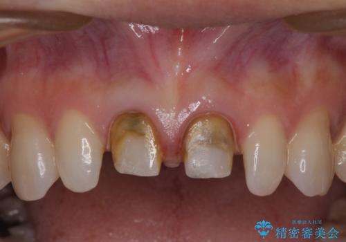
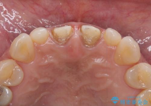
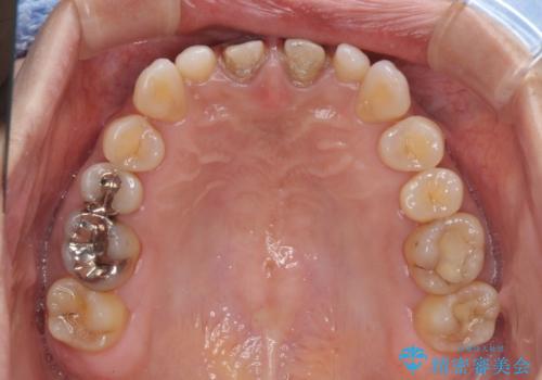
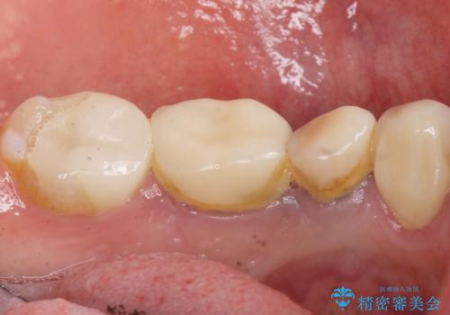
- 他院で奥歯に虫歯があると言われて、ご来院された患者様です。チェックしたところ、奥歯に虫歯は認められませんでした。
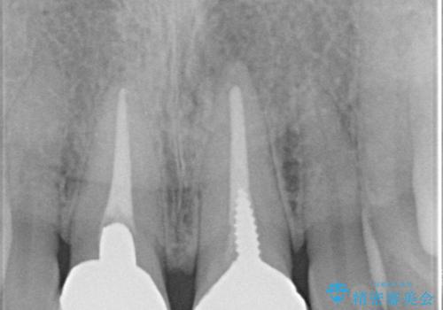
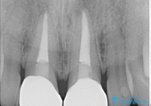
前歯に違和感や根尖病巣(根の先に細菌が溜まっている)が認められたため、治療をご提案しました。
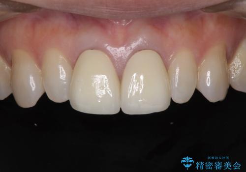
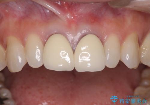
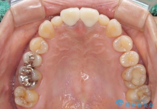
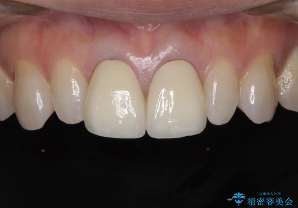
セラミック治療と根管治療を行いました。
- 費用(概算)
- 26万円(根管治療は別途。詳細は下記に記載。)費用は治療当時の料金となります
治療詳細
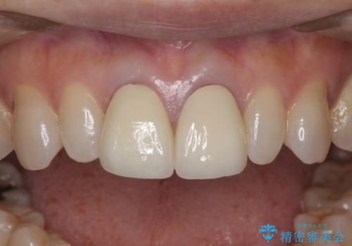
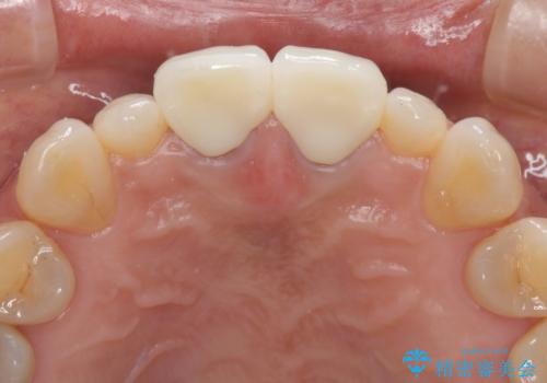
患者様は、もともと奥歯の虫歯を心配してご来院されましたが、前歯に問題が見つかりました。
金属を使用したメタルボンドクラウンが入っていたため、いつかオールセラミックにしたいときに根管治療も行ったほうが良いとご提案し、今回行いました。
就寝時マウスピース(約5000円別途)の使用をおすすめしました。
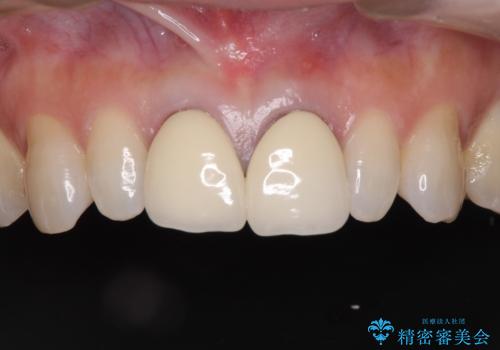
色について
歯と歯肉の境目の色は、歯自体が黒くなっている場合、完全にカバーすることは難しいです。
根管治療について
保険根管治療は回数がかかることが多く、終了予定がわかりにくいです。
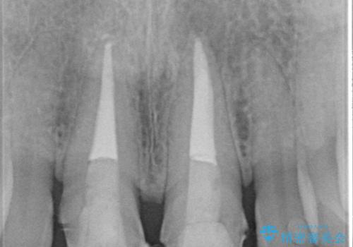
当院では、根管治療は長い時間のご予約を頂き、多くの場合2~3回で終わります。
根管治療は歯内の治療なので患者様には見えない場所ですが、ここが細菌で汚染されると激しい痛みや長引く違和感の原因になります。
当院では、清潔な治療を徹底し、顕微鏡を使用した精密な治療を行っています。
症状や根管の状態により、治療金額が異なります(5~10万円目安)。治療回数による費用負担の増減はありません。
根管治療専門医をご紹介させて頂く場合がございます。
セラミック治療の注意事項(リスク・副作用など)
- 天然歯を削ります
- 硬い素材は天然歯を傷つけてしまう場合があります
- かみ合わせや歯ぎしりが強すぎる方はセラミックが割れてしまう可能性があります
- 自費診療(保険適用外治療)となります
根管治療の注意事項(リスク・副作用など)
- 根管治療により類似の全ての症例の問題が解決するわけではなく、症例はあくまでも一例です
- 根管治療により痛みや腫れがひかない事や、術後に痛みや腫れが生じる事、治療によるファイル破折やパーフォレーションなどの偶発症、術後の歯根破折を生じる可能性もあります
- 自費診療(保険適用外)となります
当サイトの内容、テキスト、画像等の無断転載、複製、複写、盗用を固く禁じます。




















