症例詳細
Case detail
銀の詰め物を外したい。メタルフリーの治療
治療症例の内容
- 診療科目
- 治療カテゴリ
- 担当医
- 河口智英(ドクタープロフィール)
- 患者様
- 20代女性
- 治療期間
- 1ヶ月
- 治療回数
- 2-5回
- 治療計画
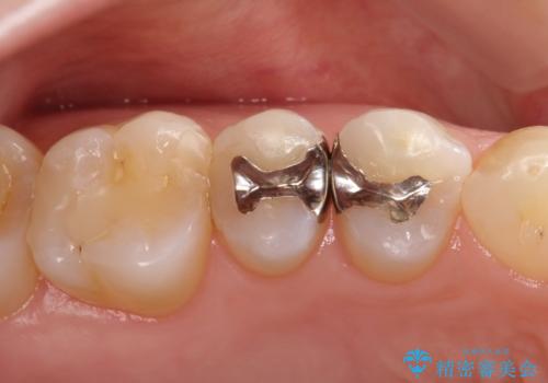
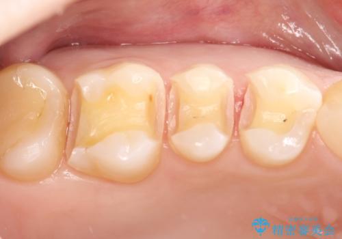
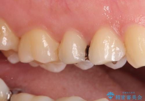
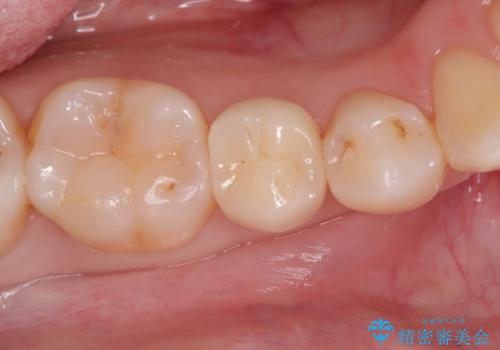
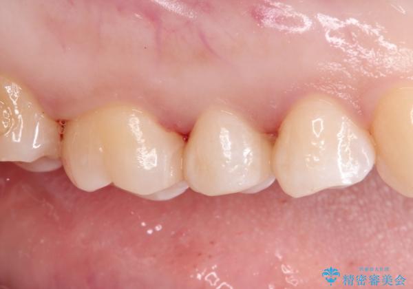
- 金属の詰め物を外して、セラミックインレーを入れたいと来院された患者様です。
奥歯に虫歯も認め、3歯の治療を来院回数2回で終了で終了しています。
- 費用(概算)
- 21万円費用は治療当時の料金となります
治療について
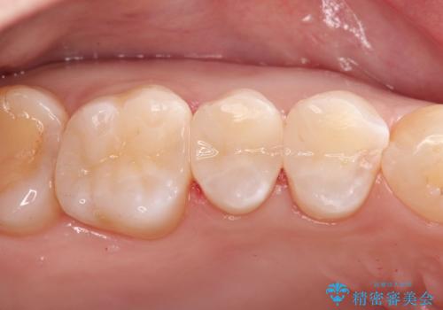
当院でのセラミックインレーはすべてe-maxと呼ばれる高強度セラミックにて製作されます。
また、製作方法もプレスと呼ばれる方法を用いることで精度を高めています。
セラミック治療の注意事項(リスク・副作用など)
- 天然歯を削ります
- 硬い素材は天然歯を傷つけてしまう場合があります
- かみ合わせや歯ぎしりが強すぎる方はセラミックが割れてしまう可能性があります
- 自費診療(保険適用外治療)となります
当サイトの内容、テキスト、画像等の無断転載、複製、複写、盗用を固く禁じます。







