症例詳細
Case detail
歯ぐきの腫れが治らない 石灰化した狭小根管治療
治療症例の内容
- 診療科目
- 治療カテゴリ
- 担当医
- 大元洋佑(ドクタープロフィール)
- 患者様
- 40代女性
- 治療期間
- 3ヶ月
- 治療回数
- 2-5回
- 治療計画
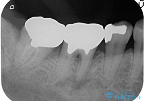
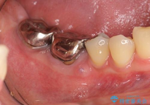
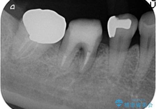
- 他院で根管治療を受け銀歯をかぶせるところまで行ったが、直後より腫れ・痛みが引かず当院へ相談、来院されました。
X線写真検査より根管充填の行われていない根管、視診より歯肉からの排膿路を認め、急性根尖性歯周炎の治療として根管再治療を計画します。
- 費用(概算)
- 15万円(再根管治療 大臼歯)費用は治療当時の料金となります
石灰化し狭小化した根管の治療について
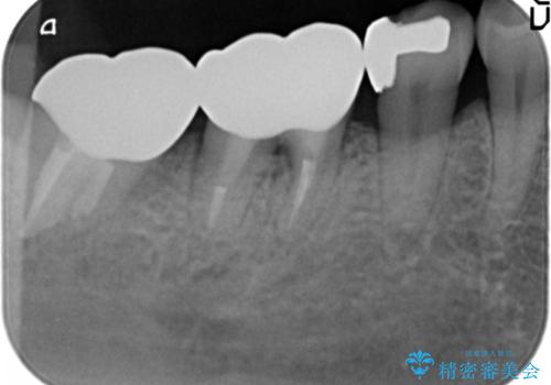
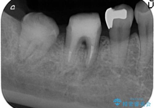
治療途中、マイクロスコープでも根管が追えないほど狭く細くなった根管へと変性しており根管の拡大形成が難しい状況でした。
CTを撮影し少しづつ丁寧に根管を探索することで無事根管再治療を行い、症状がなくなりました。
根管治療の注意事項(リスク・副作用など)
- 根管治療により類似の全ての症例の問題が解決するわけではなく、症例はあくまでも一例です
- 根管治療により痛みや腫れがひかない事や、術後に痛みや腫れが生じる事、治療によるファイル破折やパーフォレーションなどの偶発症、術後の歯根破折を生じる可能性もあります
- 自費診療(保険適用外)となります
当サイトの内容、テキスト、画像等の無断転載、複製、複写、盗用を固く禁じます。












