症例詳細
Case detail
下の前歯のがたがたを治したい。インビザラインライト
治療症例の内容
- 診療科目
- 治療カテゴリ
- 担当医
- 河口智英(ドクタープロフィール)
- 患者様
- 20代男性
- 治療期間
- 6ヶ月
- 治療回数
- 5-10回
- 治療計画
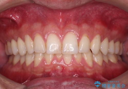
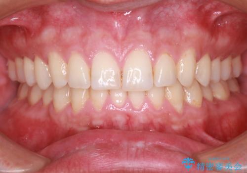
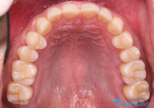
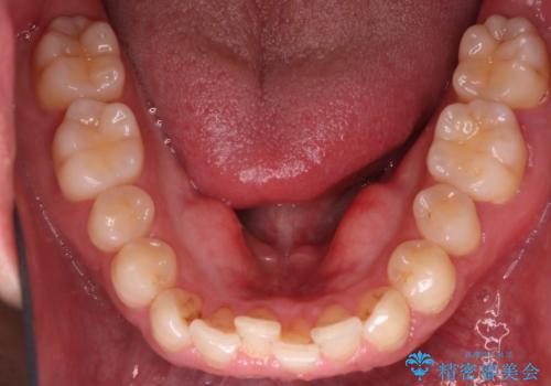
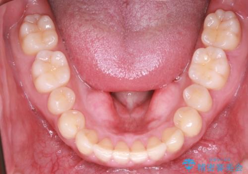
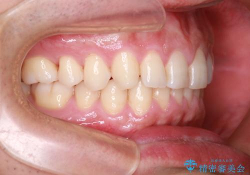
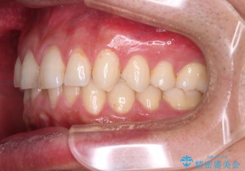
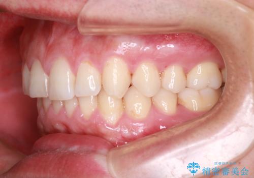
- 下顎前歯の凸凹を主訴に来院された患者様です。
下顎の叢生、ディープバイトを認め、インビザラインライトにて治療を行っております。
- 費用(概算)
- 45万円費用は治療当時の料金となります
治療について
叢生だけではなく、ディープバイトでもあったため、インビザラインフルを提案いたしましたが、インビザラインライトにて治療を行ったケースです。
追加アライナーを1回使用しております。
インビザラインライトには枚数制限及び、追加アライナーの制限があります。そのため治療計画の変更を選択しにくいというデメリットがあります。今回の症例では下顎の偏位を認めましたが加療を希望されなかったため保定経過を行っております。
マウスピース矯正の注意事項(リスク・副作用など)
- 口腔内・歯並びの状態によっては対応できない場合があります
- マウスピース型矯正装置の長時間装着(1日20時間以上)が必須です
- 治療計画通りに進めるためには、患者様の意志が重要になります
- 矯正治療後の保定が不十分だと後戻り(元の位置に戻ろうとする動き)をします
- 薬機法対象外の矯正歯科装置のため医薬品副作用被害救済制度の対象外となる場合があります
- 自費診療(保険適用外)となります
当サイトの内容、テキスト、画像等の無断転載、複製、複写、盗用を固く禁じます。













