症例詳細
Case detail
インビザライン矯正 神経のない歯をとって、全て天然歯に
治療症例の内容
- 診療科目
- 担当医
- 井上季実子(ドクタープロフィール)
- 患者様
- 20代男性
- 矯正装置
- インビザライン フル
- 治療期間
- 1年
- 治療回数
- 10-30回
- 治療計画
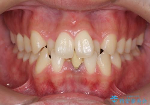
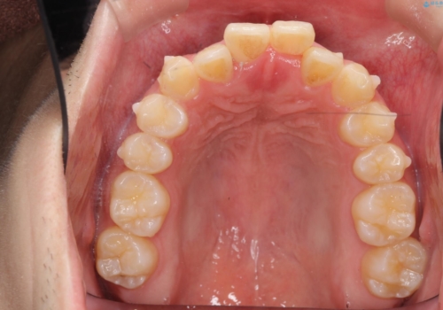
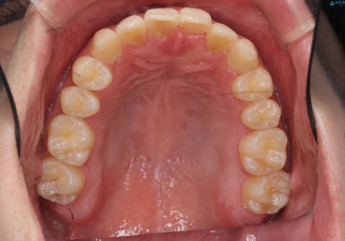
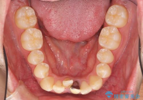
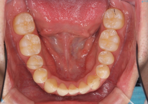
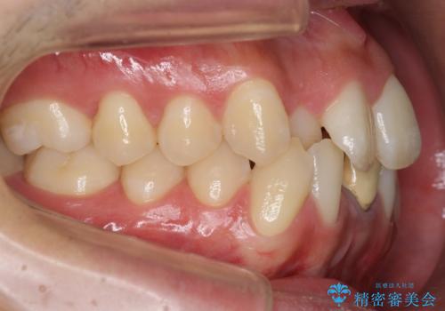
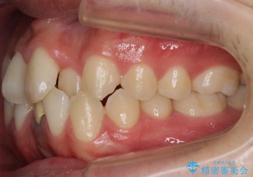
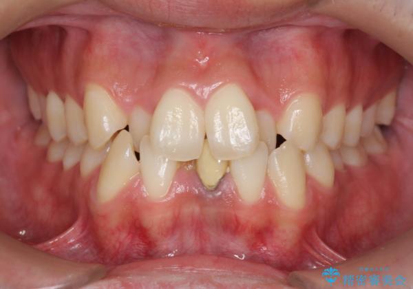
- 前歯のガタガタを主訴に来院。
下の前歯は一本保険治療での被せ物になっており、変色していました。
・神経のない下の前歯を残す
・神経のない歯を抜いてしまって、天然歯で閉じる
のプランを提案し、神経のない前歯を抜く選択をされました。
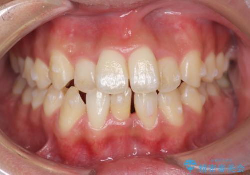
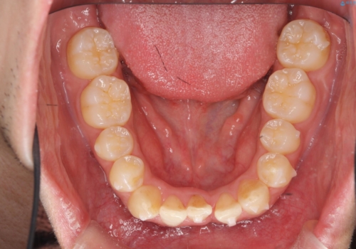
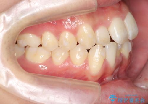
下の前歯が3本になり奇数になることで、上下の真ん中は一致しませんが、そこまで目立たないと思います。
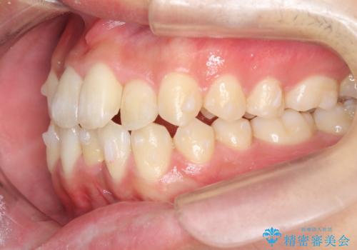
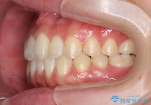
残りは全て天然歯になり、人工物の心配をしなくて済むようになりました。
治療も順調に進み、リファインメントも1回のみで済んでいます。
- 費用(概算)
- 85万円費用は治療当時の料金となります
治療について
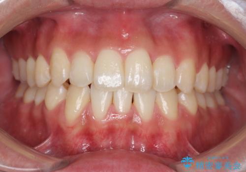
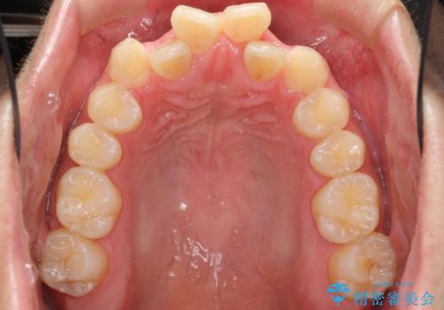
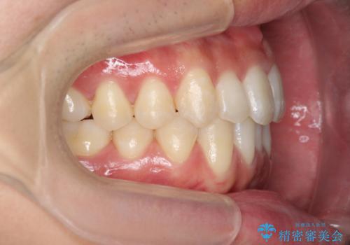
ブラックトライアングルも少なめで、短期間でしっかり並びました。
下の前歯の歯槽骨が一番薄く、歯肉退縮のリスクがあるため、今回のような1本抜歯も選択肢の一つです。
上の前歯のガタガタも、わずかに歯を削って並べていますので、出っ歯になったりしないようにしています。
マウスピース矯正の注意事項(リスク・副作用など)
- 口腔内・歯並びの状態によっては対応できない場合があります
- マウスピース型矯正装置の長時間装着(1日20時間以上)が必須です
- 治療計画通りに進めるためには、患者様の意志が重要になります
- 矯正治療後の保定が不十分だと後戻り(元の位置に戻ろうとする動き)をします
- 薬機法対象外の矯正歯科装置のため医薬品副作用被害救済制度の対象外となる場合があります
- 自費診療(保険適用外)となります
当サイトの内容、テキスト、画像等の無断転載、複製、複写、盗用を固く禁じます。





















