症例詳細
Case detail
歯茎がはれてきた 根の治療をしてからのセラミック装着
治療症例の内容
- 患者様
- 20代女性
- 治療期間
- 2ヶ月
- 治療回数
- 2-5回
- 治療計画
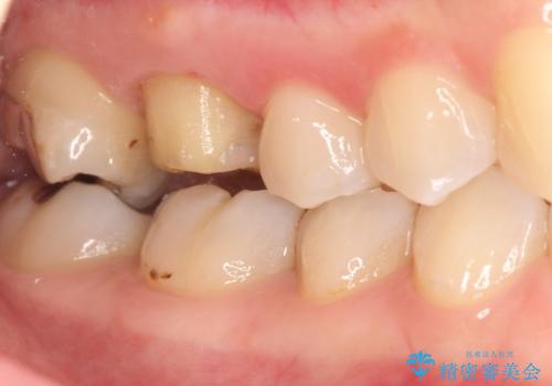
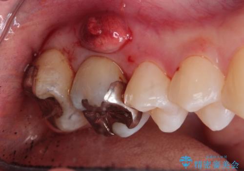
- 右上の歯茎が腫れてきたとのことで来院されました。
右上6番目の歯の位置に腫脹があり、膿も出ている状態でした。
レントゲンを撮影すると、根の先端から膿が排出されていることがわかりました。
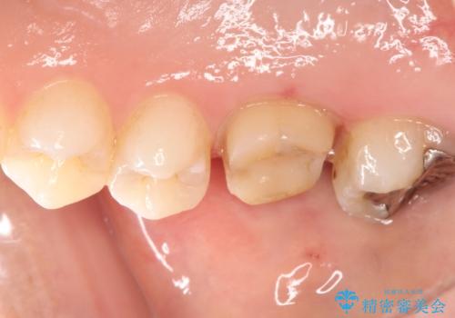
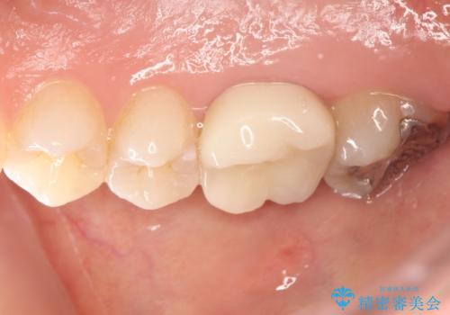
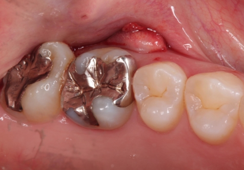
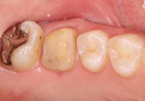
根の神経の治療を行い、セラミックを装着する計画としました。
- 費用(概算)
- 約23万円費用は治療当時の料金となります
治療について
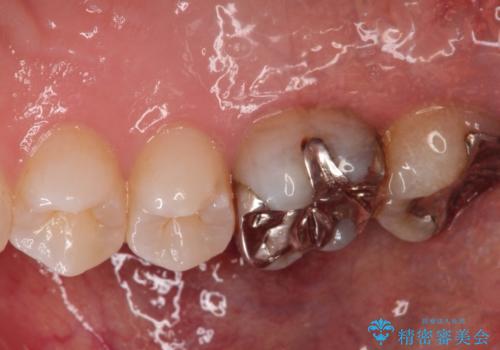
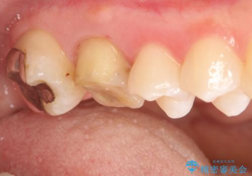
根の神経が細菌に感染するとこのように、膿の出口ができることがあります。
その場合は、根の中の治療(根管治療)が必要になります。
根管治療の注意事項(リスク・副作用など)
- 根管治療により類似の全ての症例の問題が解決するわけではなく、症例はあくまでも一例です
- 根管治療により痛みや腫れがひかない事や、術後に痛みや腫れが生じる事、治療によるファイル破折やパーフォレーションなどの偶発症、術後の歯根破折を生じる可能性もあります
- 自費診療(保険適用外)となります
当サイトの内容、テキスト、画像等の無断転載、複製、複写、盗用を固く禁じます。














