症例詳細
Case detail
インビザラインによる軽度な出っ歯の矯正治療
治療症例の内容
- 診療科目
- 治療カテゴリ
- 担当医
- 藤巻太一朗(ドクタープロフィール)
- 患者様
- 20代女性
- 矯正装置
- インビザライン
- 治療期間
- 1年6ヶ月
- 治療回数
- 10-30回
- 治療計画
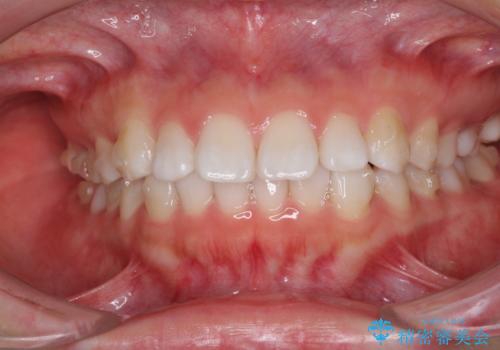
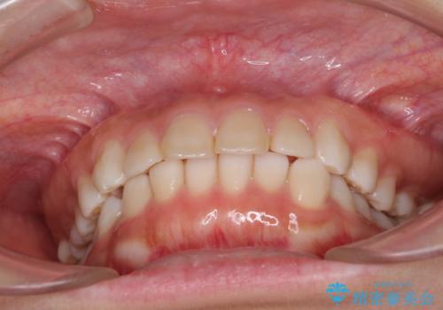
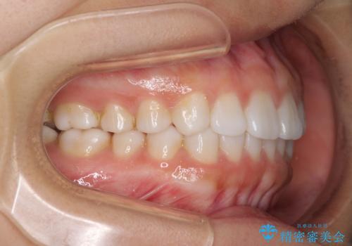
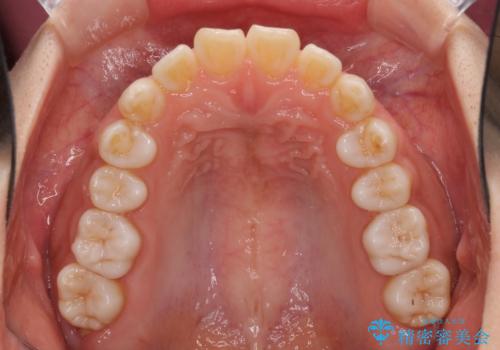
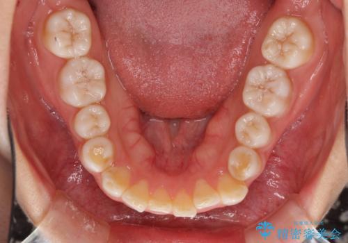
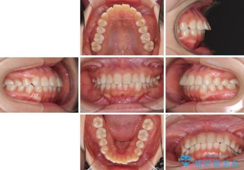
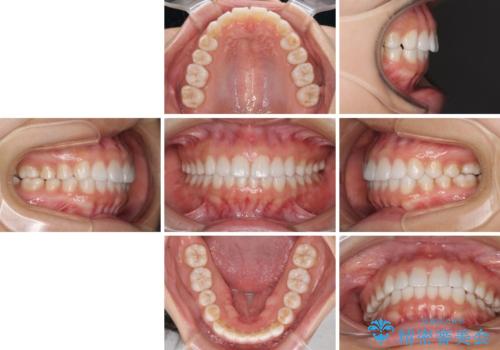
- 上の前歯の出っ歯を治したいとのことで来院された患者様です。
上下顎ともにIPR(歯と歯の間を削る)と歯列全体の拡大によって口元が引っ込むように設計し、インビザラインにより治療を行うこととしました。
- 費用(概算)
- 治療費の目安: 75万円費用は治療当時の料金となります
治療について
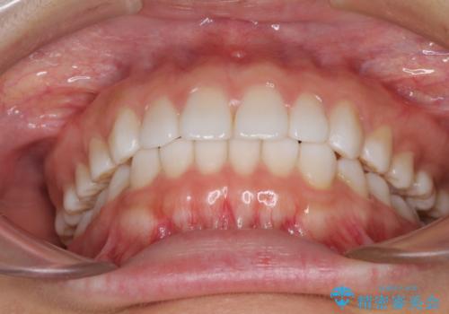
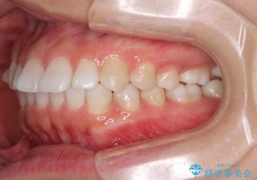
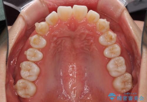
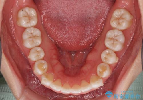
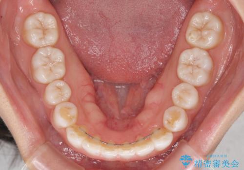
どこまで口元を引っ込めることができるのか、患者様自身も正直分からない部分があったため、少しずつ治療ゴールを変更しながら仕上げていきました。
気になっていた前歯の飛び出した印象は、最終的にはスッキリと引っ込み、大変満足していただきました。
マウスピース矯正の注意事項(リスク・副作用など)
- 口腔内・歯並びの状態によっては対応できない場合があります
- マウスピース型矯正装置の長時間装着(1日20時間以上)が必須です
- 治療計画通りに進めるためには、患者様の意志が重要になります
- 矯正治療後の保定が不十分だと後戻り(元の位置に戻ろうとする動き)をします
- 薬機法対象外の矯正歯科装置のため医薬品副作用被害救済制度の対象外となる場合があります
- 自費診療(保険適用外)となります
当サイトの内容、テキスト、画像等の無断転載、複製、複写、盗用を固く禁じます。




























