症例詳細
Case detail
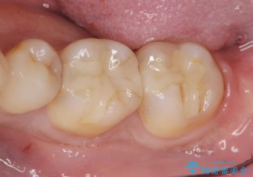
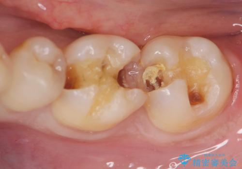
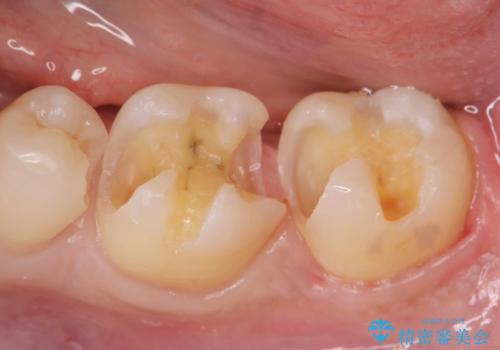
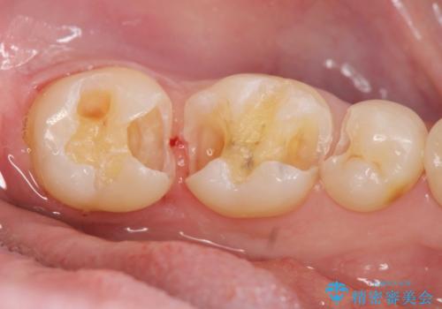
保険適応の白い詰め物レジンインレー下に再発した大きな虫歯治療
治療症例の内容
- 診療科目
- 治療カテゴリ
- 担当医
- 大元洋佑(ドクタープロフィール)
- 患者様
- 30代男性
- 治療期間
- 1ヶ月
- 治療回数
- 2-5回
- 治療計画
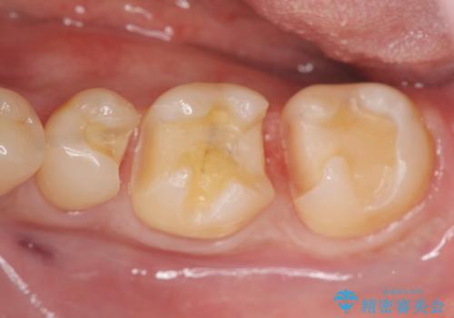
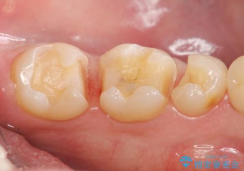
- 以前治療した歯の違和感、しみる感じの改善を求めて来院されました。
保険適応の素材、レジン素材による修復が行われていますが、X線写真より修復物の下には透過像(黒い影)が認められ、症状からも虫歯の再発が強く疑われます。
- 費用(概算)
- 12万円 ゴールドインレー×2費用は治療当時の料金となります
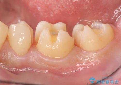
ゴールドインレーについて
ゴールドは見た目に難がありますが、歯を削る量がセラミックに比べて少ない・複雑な形にも追従しやすい・壊れにくいなどの利点があります。
PGA(ゴールド)クラウン、インレーの注意事項(リスク・副作用など)
- インレーおよびクラウンは脱離するリスクがあります
- 形成量はセラミックより少ないですが、歯の形成、修復後に歯に症状が出ることがあります
- 自費診療(保険適用外治療)となります
当サイトの内容、テキスト、画像等の無断転載、複製、複写、盗用を固く禁じます。














