症例詳細
Case detail
窩洞形態により選択するインレーの素材
治療症例の内容
- 診療科目
- 治療カテゴリ
- 担当医
- 大元洋佑(ドクタープロフィール)
- 患者様
- 30代男性
- 治療期間
- 1ヶ月
- 治療回数
- 2-5回
- 治療計画
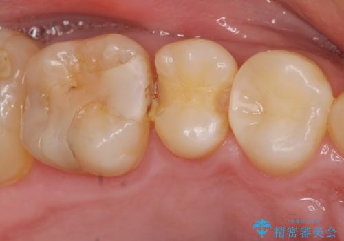
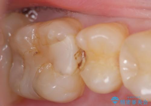
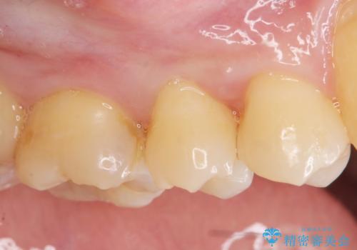
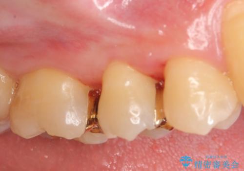
- 定期検診を希望され来院、虫歯が発見されたため治療へと移行しました。
虫歯の大きさや残存歯質・窩洞形態によりゴールドやセラミックといった材質を選択することでより歯を削る量を少なくすると同時に強度も確保、長期的な予後を期待できるような治療を実践していきます。
- 費用(概算)
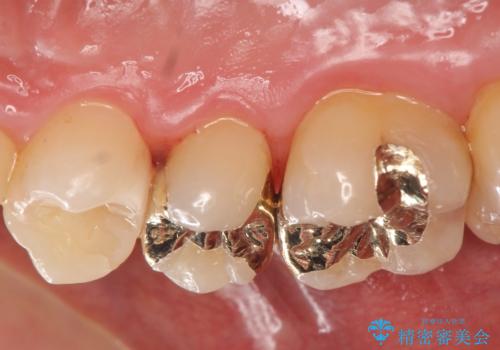
- 19万円(ゴールドインレー×2 セラミックインレー×1)費用は治療当時の料金となります
素材の選択について
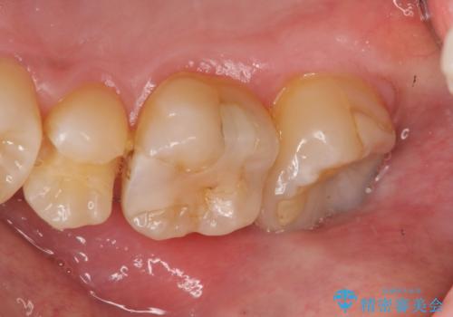
セラミック・ゴールド共に化学的な変化が少なくインレー素材として理想的ですが、色調や強度・加工のしやすさ・最低限必要な厚み等の条件が異なります。
今回の治療では、虫歯を除去したのちより修復に適した素材を選択することで歯を削る量を可及的に少なくすることと、長期的な予後を期待できるような状態にすることができました。
PGA(ゴールド)クラウン、インレーの注意事項(リスク・副作用など)
- インレーおよびクラウンは脱離するリスクがあります
- 形成量はセラミックより少ないですが、歯の形成、修復後に歯に症状が出ることがあります
- 自費診療(保険適用外治療)となります
セラミック治療の注意事項(リスク・副作用など)
- 天然歯を削ります
- 硬い素材は天然歯を傷つけてしまう場合があります
- かみ合わせや歯ぎしりが強すぎる方はセラミックが割れてしまう可能性があります
- 自費診療(保険適用外治療)となります
当サイトの内容、テキスト、画像等の無断転載、複製、複写、盗用を固く禁じます。









